歯列矯正で顔の変化は起きる?Eライン・フェイスライン・頬のこけ「変わる範囲」と注意点
歯列矯正の「顔の変化」が気になり、写真でビフォーアフターを比較したい方は少なくありません。Eラインやフェイスラインが整う期待がある一方で、頬のこけ・ほうれい線が目立つのではと不安になることもあります。
顔つきの変化は、骨格そのものが変わるというより、歯の位置や噛み合わせが整い、唇や表情の緊張バランスが変わることで起こるケースが中心です。ただし軟組織(唇や頬など)の反応には個人差があり、「どこまで変わるか」は歯並びと治療計画で大きく変わります。
この記事では、変化が起こる仕組みと変化の限界、時期の目安、頬のこけを避けるための考え方まで整理します。マウスピース矯正は軽症向けという先入観だけで判断せず、検査にもとづいて「あなたの場合」の理想の顔貌を目指しましょう。
歯列矯正で顔の変化は起こる?
歯列矯正で顔の印象が変わることはあります。ただし変化の大きさや見え方は、歯並び・骨格・軟組織(唇や頬)によって個人差が出ます。写真で比べると口元の違いに気づきやすい一方、頬のこけやほうれい線が目立つのではと不安になる方もいます。
望ましい変化かどうかは、価値観にも左右されます。検査データから「どこがどの程度変わり得るか」を見立て、起こりうる変化を知っておくことが大切です。変化が出やすいのは口元や横顔で、輪郭は筋肉や噛み方の影響が重なります。ここではまず、実際に顔の変化が起きた当院の症例写真や、顔の変化が生じるメカニズムについてご説明します。
実際に顔に変化が起きた当院の症例を写真で紹介
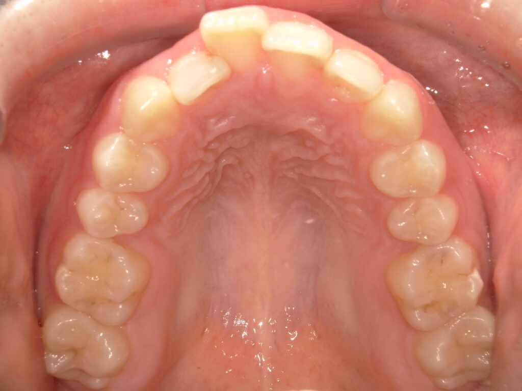
こちらは当院で矯正治療を行い、患者様のご希望通りの顔貌の変化が起きた症例写真です。
BEFORE


AFTER


症例写真は一例であり、適応や結果には個人差がありますが、適切な診断と治療を行うことでこのような結果を出すことが可能です。
続いて、なぜ顔つきが変化するのかを解説します。
歯列矯正で顔の変化が起きるメカニズム
矯正治療は歯を動かし、噛み合わせと歯列の位置関係を整える治療です。歯が動くと、歯を支える骨(歯槽骨)が作り替わり、歯の並び方や傾きが変わります。
前歯の位置が変化すると、唇を支える土台が変わり、突出感や口の閉じやすさに影響することがあります。歯の移動は数週間で始まりますが、見た目の変化は数ヶ月単位でじわじわ現れることが一般的です。
噛み合わせが安定すると、口周りや咬筋(噛む筋肉)の緊張が偏りにくくなり、輪郭が整って見える場合もあります。治療初期は、装置に慣れる過程で口元の動きがぎこちなくなったり、むくみで一時的に印象が変わったりすることもあります。
難しいケースほど設計差が出やすいため、CTや3Dスキャンなどの検査で計画を具体化することが重要です。
前歯の位置と口元(唇の突出感・人中・横顔)
出っ歯や口ゴボなどで前歯が前方に傾いていると、唇が押し出され、口元が前に出て見えることがあります。前歯を適切な位置へ移動すると、押し出されていた唇が下がり、口元がすっきり見えます。
横顔のEラインは、鼻や顎先の形にも左右されますが、口元の見え方は矯正で調整しやすい領域です。人中の長短そのものが変わるというより、上唇の形や口唇閉鎖(口を閉じる動き)の変化で印象が変わることが多いと考えられます。
ただし、歯の後退量と唇の後退量は必ずしも一致せず、厚みや筋緊張で反応が変わります。また抜歯の有無やスペースの作り方によって、前歯の下がり方は変わります。
口元を下げすぎたくない、横顔を整えたいといった希望は、診断段階で歯科医師に共有しておくと治療計画が立てやすくなります。
噛み合わせと顎位・咬筋(フェイスラインや左右差の見え方)
噛み合わせにズレがあると、片側で噛む癖がつきやすく、咬筋の使い方が偏ることがあります。その結果、フェイスラインや左右差が強調されて見える場合があります。
矯正で噛み合わせの接触が整うと、噛み方の偏りが減り、顎位(下顎の位置)が安定して見えるケースもあります。加えて、口元の力みが減ると、口角の上がり方や表情の緊張感が変わることもあります。
奥歯の高さや噛み合わせの深さが調整されると、下顔面の見え方が変わることもあります。反対に、治療途中は噛み合わせが移行期になり、噛みにくさを感じる時期もあります。
骨格そのものが変化するわけではなく、姿勢や食いしばりなど生活習慣も関わります。治療中は咬合の変化に合わせて評価し、必要があればゴムかけなどの方法も含めて計画を微調整します。
骨格が変わる/変わらないの境界(成長期と成人・外科矯正)
成人の歯列矯正では、成長による骨格変化は基本的に期待しにくく、見た目の変化は主に歯列と軟組織に由来します。一方、成長期の小児矯正では、顎の成長誘導を含めた治療計画が立てられる場合があります。
成人で骨格要因が強い受け口や口元の突出では、外科矯正が視野に入ることもあります。外科矯正は顎の骨の位置を手術で調整する方法で、矯正単独より適応の判断が重要です。ただし、骨格を動かさない「カモフラージュ矯正」で、前歯の角度や噛み合わせを整えて印象を改善できるケースもあります。
当院では機能面(噛みやすさ)と審美面(口元のバランス)を両立させるために、複数プランを比較して検討します。セファロ(頭部X線規格写真)やCTで骨格と歯の位置関係を分析し、矯正で狙える範囲と限界を見極めることが大切です。
歯列矯正の顔の変化で変わりやすい部位

歯列矯正による顔の変化は、どこに出やすいのかを知っておくことが大切です。
変化が目立ちやすいのは、前歯の位置に影響を受ける口元と横顔です。一方で輪郭は、噛み方や筋肉の緊張、生活習慣も重なるため、見え方に個人差が出ます。
ここでは、横顔・正面・フェイスラインのポイントと、頬のこけやほうれい線など不安が出やすい変化もあわせて整理します。
横顔(Eライン・口元のもたつき・唇の位置)
横顔の指標として知られるEラインは、鼻先と顎先を結ぶ線で、口元の位置をみる一つの目安です。
ただし鼻や顎先の形は人それぞれで、Eラインだけをゴールにすると違和感が出ることもあります。
歯列矯正では前歯の傾きや位置が整うことで、唇の突出感が変わり、口元のもたつきが軽く見える場合があります。抜歯の有無やスペースの作り方で印象は変わるため、横顔の希望は診断の段階で共有しておくと安心です。
正面(口角・口が閉じやすい・口元の緊張感)
正面の印象は、歯並びだけでなく「口が楽に閉じられるか」にも大きく関わります。
出っ歯や叢生で口唇閉鎖がしづらいと、無意識に口元へ力が入り、表情が硬く見えることがあります。歯列が整い、前歯の位置関係が改善すると、口元の緊張が和らぎ、口角の動きが自然に見えるケースがあります。
矯正によって口を閉じやすくなることで、見た目の変化が生じるだけでなく、口呼吸などの悪癖も同時に改善することが期待できます。
輪郭(フェイスライン・エラの見え方・左右差)
フェイスラインやエラの見え方は、矯正治療で骨格が変わるわけではなく、噛み方と筋肉バランスの変化によって印象が違って見えることがあります。
噛み合わせのズレがあると片側で噛みやすくなり、咬筋(噛む筋肉)の使い方が偏って左右差が強調されてしまいます。噛み合わせが整うことで、筋肉の緊張が偏りにくくなり、輪郭がすっきり見えることが期待されます。
ただし姿勢や食いしばり、頬杖などの習慣も咬筋に影響するため、治療中は生活面も含めて総合的に見ていくことが大切です。
ほうれい線・頬のこけなどのネガティブな変化
歯列矯正における顔の変化で不安に感じる方が多いのが、「老けた気がする」「頬がこけた」といった印象の変化です。これは抜歯矯正によって口元が引っ込みすぎた際に起こりやすい変化です。
前歯を後方へ動かす計画では、唇や口元の支持が変わり、頬の陰影が目立ったように感じたり、頬がこけたように感じることがあります。ただしこれは、治療中の体重の変化や、むくみが引いたタイミング、表情や癖によっても起きることがある変化です。
矯正治療を始める前に、事前のシミュレーションで顔貌の変化を予測しておくことで、こういったネガティブな変化が矯正由来なのかそれ以外の要因によるものなのか、判断しやすくなります。
歯列矯正で顔が変化しやすい歯並びと変化の仕方

歯列矯正による顔の変化は、元の歯並びのタイプによって変化が出やすいポイントが変わります。特に前歯の突出感が強いケースは、口元や横顔の印象が変わったと感じやすい傾向があります。
一方で骨格要因が大きい場合は、矯正単独でできる範囲に限界があることもあります。同じ歯並びに見えても人によって治療方針は変わるため、精密検査を踏まえて「どこまでの変化を狙えるか」すり合わせることが大切です。
ここでは代表的な歯並び別に、起こりやすい変化の方向性を説明します。
出っ歯・口ゴボ(上顎前突)での口元の変化
出っ歯や口ゴボは、前歯が前方に傾いていることで唇が押し出され、口元が前に出て見えやすいタイプです。歯列矯正で前歯の位置や傾きを整えると、唇の突出感が落ち着き、横顔や口元がすっきり見える場合があります。
どの程度の変化を目指すかは、抜歯の有無によって大幅に変わります。抜歯をすれば前歯を大きく引っ込めて口元にも大きな変化が生じます。非抜歯の場合は、遠心移動やIPRを駆使して口元を下げられるケースはありますが、大幅な変化は起こしにくいのが実情です。
ただし変化の量は抜歯の有無でだけで決まるものではありません。奥歯の支え方(固定の取り方)や、前歯を動かす方向の設計でも仕上がりの印象は変わります。
口元を下げすぎたくない、Eラインを意識したいなどの希望がある場合は、診断時に歯科医師になるべく具体的なイメージを共有しておくと、より治療計画が患者様の理想に近いものになります。
受け口(下顎前突)での横顔・下唇周りの見え方
受け口は、歯の傾きだけでなく骨格の影響が関わることがあり、矯正で改善できる範囲の見極めが重要です。
矯正単独で対応できるケースでは、前歯の位置関係を整えることで下唇周りの印象や噛み合わせが改善し、横顔のバランスが変わって見える場合があります。
一方で骨格要因が強い場合は、外科矯正を含めて検討することもあります。
ただし、手術を前提にしない「カモフラージュ矯正」で見た目の改善を狙えることもあるため、セファロやCTなどの検査で適応を判断し、無理のないゴール設定をすることが大切です。
開咬・過蓋咬合での口元の力みと輪郭の印象
開咬は前歯が噛み合いにくく、口が閉じにくかったり、口元に力が入りやすかったりすることで、表情の印象に影響することがあります。
過蓋咬合は噛み込みが深く、下顎の動きや口元の緊張が強く見える場合があります。歯列矯正で噛み合わせの高さや前歯の接触関係が整うと、口唇閉鎖(口を閉じる動き)が楽になり、口元の力みが和らいで見えるケースがあります。
ただし変化の感じ方は、唇の厚みや表情の癖、食いしばりなどでも変わります。
治療中は噛み合わせの移行期になるため、経過を写真で見つつ、診療側の評価とあわせて判断すると安心です。
ガタガタ・叢生は見た目の印象が大きく変わる
叢生(歯のガタガタ)は、「矯正によって顔が激変する」というより、歯並びが整うことで口元の清潔感や笑顔の印象が大きく変わりやすいタイプです。
歯が重なって見えていた部分が整うと、口角の動きが自然に見えたり、写真での見栄えが改善したと感じたりすることがあります。一方で、骨格や唇の形そのものが大きく変わるわけではないため、顔の変化の期待値を上げすぎないことも大切です。
スペースを作る方法は、歯列の幅を整える、歯の形をわずかに調整する(IPR)など複数あり、口元の印象も含めて設計します。気になる点は、治療前にシミュレーションや説明でイメージをすり合わせておくと納得しやすくなります。
歯列矯正の顔の変化は抜歯/非抜歯で違う?

歯列矯正の顔の変化は、「抜歯か非抜歯か」によって出やすい変化が変わります。特に口元の印象は、前歯をどれだけ後方へ移動できるかが関わるため、治療計画の立て方が重要です。
渋谷東京矯正歯科では、CTや3Dスキャンなどの検査にもとづき、スペースの作り方と前歯のコントロールを含めて「どのような変化を狙うか」を具体化します。
ここでは、抜歯・非抜歯それぞれの特徴と、後悔しない確認ポイントを整理します。
抜歯で起こりやすい変化と「口元下がりすぎ」を防ぐ設計
抜歯は、歯を並べるスペースを確保するための手段です。スペースが確保できる分、前歯を後方へ動かす計画が立てやすく、出っ歯・口ゴボでは口元の突出感が落ち着いて見える場合があります。
ただし抜歯をするとほぼ必ず口元が後退するため、口元をあまり下げたく無い場合は慎重な検討が必要です。特に口元の位置はちょうどいいケースで叢生などスペースが足りない歯並びの場合、歯を並べるために安易に抜歯をすると口元が下がりすぎて後悔するケースも少なくありません。
口元が下がりすぎる不安がある場合は、横顔の希望を診断時に共有し、シミュレーションで変化の方向性を確認しておくことが大切です。固定源(奥歯など歯を支える設計)をどう取るかでも、仕上がりの印象は変わります。
非抜歯での限界と、拡大・IPRなどの選択肢
非抜歯は変化が穏やかになりやすく、口元を下げすぎたくない方に合う場合があります。一方でスペースが不足しているのに無理に非抜歯で進めると、前歯が前方へ傾き、口元が強調されて見えるリスクもあります。
非抜歯でスペースを作る方法には、歯列の幅を整える拡大や、奥歯を後方へ動かす遠心移動、IPR(歯と歯の間をわずかに削って隙間を作る処置)などがあります。
どれを組み合わせるかで、歯の動き方と顔貌の見え方が変わるため、「非抜歯でどこまで狙えるか」を検査データと照らして判断することが重要です。
時期別にみる「歯列矯正の顔の変化の目安」

歯列矯正による顔の変化は、ある日急に変わるというより、歯の移動と噛み合わせの安定に合わせて段階的に現れることが多いです。ただし「いつから変わるか」は、歯並びのタイプ、抜歯/非抜歯の方針、装置、そして軟組織(唇や頬)の反応によって個人差があります。
日々写真などを撮りながら経過を比較し、角度や表情、光の当たり方で印象が揺れやすい点も踏まえて、焦らず経過を見ていくことが大切です。
目安として、開始〜3ヶ月は歯が動き始める時期で、装置の違和感や一時的なむくみにより「変わった気がする」と感じることがあります。
3〜6ヶ月頃から前歯の並びが整い、笑ったときの見え方や口元の清潔感に変化が出始めるケースが増えます。
6ヶ月〜1年では、前歯の位置関係や噛み合わせの調整が進み、横顔や口元のもたつきが落ち着いて見えることがあります。
抜歯矯正ではスペースを使って前歯を後方へ動かしやすく、口元の突出感が変わったと自覚しやすい傾向がありますが、非抜歯でも遠心移動やIPRなどの設計次第で印象が変わることはあります。
いずれの時期も「想定していた変化の方向か」「下がりすぎなど不安な変化が出ていないか」を確認しながら、噛み合わせの当たり方や歯の移動量、口元のバランスを加味して治療を進めます。
歯列矯正の顔の変化を予測する当院の診断フロー

「歯列矯正で顔はどこまで変わるのか」を考えるとき、一般論だけでは不安が残りやすいです。歯並びや骨格、唇・頬などの軟組織は人によって違うため、同じように見えるケースでも「狙える変化の範囲」は変わります。
そこで大切なのが、顔貌も含めて検査データから見立て、治療計画に落とし込むプロセスです。
渋谷東京矯正歯科では、カウンセリングから検査・診断・シミュレーションまで段階的に確認しながら、歯列矯正での顔の変化を現実的にご説明します。忙しい方でも続けやすい通院設計まで含め、後悔しにくい判断につなげます。
CT×3Dスキャナー×シミュレーションで「目指す横顔・口元」を具体化
顔の印象の変化は、前歯の位置や噛み合わせの設計と強く関わります。そこでCTと3Dスキャナーで、歯の根の位置や歯列全体の形を立体的に把握します。そのうえでシミュレーションを用い、「前歯をどの方向へ、どれくらい動かす計画か」を見える形にします。
横顔(Eライン)や口元のもたつきなど、気になるポイントはこの段階で共有しておくと、それに応じて治療計画を調整し、より理想的な顔貌の変化を目指します。抜歯を含む相談や口元改善の希望が強いケースほど、検査とすり合わせの丁寧さが結果の納得感につながります。
無料カウンセリングで検査〜顔貌シミュレーションまで実施
初回カウンセリングでは、口腔内写真・顔写真・レントゲン写真などの検査を費用負担なく行い、撮影した資料をその場でお見せしながら説明します。
歯並びの状態を整理したうえで、横顔の見え方も確認し、Eライン(鼻先と顎先を結ぶ線)を目安に「現状の口元の位置」と「抜歯/非抜歯を検討する理由」を分かりやすくお伝えします。
たとえば「抜歯が選択肢になり得る条件」「非抜歯で進めた場合に起こりやすい見え方」などを、検査データに沿って比較します。そのうえで、横顔のバランスや口元の位置についても、分かりやすくお伝えします。
約1時間のカウンセリングは院長が一貫して対応し、不安や希望を院長が直接聞き取れる体制を整えています。
通院回数が少なく、オンライン診療にも対応可能
矯正は継続が前提のため、忙しさで通院が乱れると、計画の微調整が遅れやすくなります。そこで、治療の段階に合わせて来院間隔を設計し、必要に応じてオンラインでのフォローも組み合わせます。通院が安定すると、歯の動きと噛み合わせの変化を同じ基準で追いやすくなり、顔の変化の評価もぶれにくくなります。負担を抑えつつ、精密さと快適さの両立を図る運用が、結果の納得感につながります。
費用と期間の目安(総額制)も含めた「後悔しない判断」を
矯正治療を行う際には、費用と期間も含めて総合的な判断が必要になります。
当院では矯正治療の目安として、全体矯正は総額71.5万円〜、部分矯正は総額38.5万円〜で案内しております。
また治療期間についても、歯の移動だけでなく噛み合わせの安定や保定まで見据えて、一つひとつ丁寧にご説明します。
歯列矯正の顔の変化に関するよくある質問
歯列矯正の顔の変化は気になりやすい一方で、感じ方に個人差が大きいテーマです。
ここでは「顔が長くなった気がする」「整形みたいに変わるのか」「治療後に戻るのか」といった相談が多いポイントを、誤解が起きやすい点も含めて説明します。
自己判断で不安を大きくしないためにも、参考にしてください。
Q.歯列矯正で「顔が長くなった」と感じるのはなぜ?
「顔が長くなった気がする」という印象は、骨格が伸びたというより、口元の力みが抜けたり、噛み合わせの高さが調整されたりして見え方が変わることで起こる場合があります。
たとえば、口が閉じづらかった方が閉じやすくなると、唇や顎先の緊張が変わり、下顔面の見え方が変化することがあります。治療中は噛み合わせが移行期になり、噛み方が定まらず一時的に違和感が出ることもあります。
写真で比較する際は、顔の角度や表情、体重変動でも印象が変わるため、同条件で撮影し、診療側の評価とあわせて確認するのが大切です。
Q.歯列矯正で「整形みたいに変わる」ことはある?
歯列矯正は、歯並びと噛み合わせを整える治療であり、別人のような変化を保証するものではありません。特に成人の場合、骨格そのものの大きな変化は基本的に期待しにくく、印象の変化は主に歯列の位置と軟組織(唇や頬)の反応によって生じます。
一方で、出っ歯・口ゴボなど前歯の突出が強いケースでは、口元や横顔の印象が大幅に変わったと感じることがあります。大切なのは「どこまでを目標にするか」を先に決め、検査データとシミュレーションで現実的な範囲をすり合わせることです。
Q.歯列矯正の顔の変化は治療後に戻る?保定で何が変わる?
歯は元の位置へ戻ろうとする性質があるため、治療後の保定(リテーナーによる安定)が不十分だと、歯並びだけでなく口元の印象も戻ったように感じることがあります。
矯正治療は「歯を動かす期間」と「動いた位置を安定させる期間」がセットで、保定は仕上がりを守るための大切な工程です。リテーナーの装着時間や期間は状態によって異なるため、指示どおりに使い、定期的に噛み合わせや後戻りの兆候を確認することが重要です。
気になる変化が出た場合も、早めに相談することで調整できる余地が残りやすくなります。
まとめ:歯列矯正での顔の変化を理解して、理想の顔貌へ
歯列矯正で顔の印象が変わることはありますが、変化の中心は骨格の変化ではなく、歯の位置と噛み合わせが整うことで起こる口元・横顔の見え方の変化です。
出っ歯や口ゴボなど前歯の突出が強いケースでは口元がすっきり見えることがある一方、輪郭や頬のこけ、ほうれい線の見え方は筋肉の緊張や生活習慣、軟組織の反応も重なるため個人差が出ます。
だからこそ「写真で変化するか」だけで判断せず、抜歯/非抜歯や装置の選択も含めて、検査にもとづき「あなたの場合どこまでの変化が期待できるか」を確認することが大切です。
渋谷東京矯正歯科では、CT・3Dスキャン・シミュレーションを用いて、口元や横顔の希望、不安(頬のこけなど)を治療計画に反映しながら、現実的なゴールを目指します。まずはカウンセリングで検査結果をもとに、変わる範囲と注意点を一緒に整理していきましょう。
