インビザラインで叶える、口元・横顔を美しく整える抜歯矯正


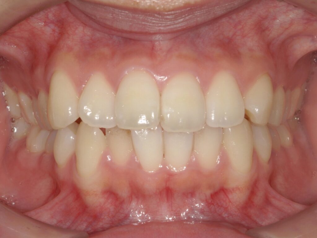
こちらの写真をご覧になると、口元の印象がかなり大きく変わっていることがわかります。これは、小臼歯を抜歯して前歯を後方に下げた矯正治療の結果です。
「歯を抜くのが怖い」
「抜歯矯正をしたら老けた印象になるのではないか」
「マウスピースで抜歯矯正はできるのだろうか」
そのようなお気持ちで、なかなか一歩を踏み出せない方は少なくありません。
渋谷東京矯正歯科では、インビザラインを中心としたマウスピース矯正で、非抜歯矯正にも力を入れています(非抜歯矯正についてはこちら)。そのうえで、口元の突出感が強い方や、重度のガタつきがある方には、抜歯矯正のほうがむしろ自然で健康的な仕上がりにつながる場合があると考えています。
SNSやネットの口コミでは「抜歯矯正で老けた」「隙間が閉じなかった」といった声を目にすることもあります。しかし、こうした問題の多くは、治療計画の精度や歯の動かし方に原因があります。適切な診断と設計があれば、抜歯矯正でも安全に、口元や横顔の印象を大きく改善することは可能です。
このページでは、当院がどのような考え方と技術で抜歯矯正に取り組んでいるのかを、できるだけ具体的にご紹介します。
抜歯矯正とは? 非抜歯矯正との違い
非抜歯矯正でスペースをつくる方法との比較
歯並びを整える矯正治療では、歯をきれいに並べるための「スペース」が欠かせません。このスペースの作り方によって、治療は大きく2つに分かれます。
非抜歯矯正では、奥歯を後方へ移動させる遠心移動、歯列のわずかな拡大、歯と歯の間を少しだけ削るIPRといった方法を組み合わせ、健康な歯を抜かずにスペースを生み出します。
一方、抜歯矯正では、小臼歯(前から4番目の歯)などを抜いて大きなスペースを確保し、そのスペースを利用して前歯をしっかり後方へ移動させます。非抜歯矯正で得られるスペースには限りがあるため、口元を大きく引っ込めたい場合や、重度のガタつきがある場合には、抜歯矯正が有効な選択肢となります。
どちらが正しいということではなく、患者様の歯並びや横顔の状態に応じて選択するものです。その判断基準について、ここから順に解説していきます。
抜歯矯正で前歯を下げる仕組み


抜歯矯正で多いのは、上下左右の小臼歯をあわせて4本抜くケースです。小臼歯は1本あたり約7mmの幅があるため、左右で抜歯することで片側にまとまったスペースが生まれます。
このスペースを利用して前歯全体を後方に移動させることで、口元の突出感が減り、横顔のEライン(鼻先とあご先を結んだライン)が整っていきます。
唇は前歯に支えられているため、前歯の位置が数mm変わるだけでも、口元の印象は大きく変化します。非抜歯矯正で確保できるスペースでは足りないほどの変化を求める場合、抜歯矯正のほうが満足度の高い仕上がりにつながりやすいといえます。
抜歯矯正が向いている方の特徴
当院のカウンセリングで抜歯矯正を検討するケースは、大きく2つのパターンに分かれます。
一つ目は、横顔や口元を大きく変えたい方です。Eラインから口元がはっきりと出ている方は、非抜歯で遠心移動やIPRを駆使しても、十分に引っ込めきれないことがあります。「もう少し口元を下げたい」「横顔をすっきりさせたい」という希望が強い場合には、抜歯によって得られるスペースを活かした治療のほうが、理想に近づきやすくなります。
二つ目は、重度のガタつき(叢生)がある方です。歯1本分以上のスペースが不足している場合、歯を抜かずに無理に並べようとすると、前歯が前方に押し出されて出っ歯のような仕上がりになってしまうことがあります。さらに、歯が骨の外側にはみ出してしまうと、歯ぐきの退縮や将来的なトラブルにつながるおそれもあります。
こうした判断は、見た目だけで行うことはできません。レントゲンやCT、3Dスキャンなどの精密検査を通じて、骨の状態や歯の傾きを総合的に確認したうえで方針を決めていきます。
マウスピース矯正でも抜歯矯正はできる
マウスピースでの抜歯矯正が「難しい」と言われる理由

「抜歯矯正をするならワイヤー矯正」というイメージをお持ちの方もいらっしゃるかもしれません。実際に、マウスピース矯正での抜歯矯正は「難しい」とされることがあります。
その理由は、マウスピースの構造にあります。歯を抜くと、その部分に歯がない大きな空間が生まれます。マウスピースはこの空間の上にも覆いかぶさるのですが、歯で支えられていない部分ではどうしてもたわみが生じます。
マウスピースがたわむと、本来の計画とは違う方向に力がかかり、奥歯が手前に倒れ込んだり、前歯が思うように下がらなかったりといった問題が起こりやすくなります。ワイヤー矯正では歯に直接装置を固定するためこの現象が起きにくいことから、「抜歯矯正はワイヤーのほうが得意」という認識が広まっています。
しかし、この問題は治療計画の立て方と歯の動かし方を工夫することで、十分に対応することができます。
マウスピース矯正だからこそ安全にできる側面もある
マウスピース矯正には、抜歯矯正において有利に働く特性もあります。
まず、歯にかかる力の大きさです。マウスピース矯正が歯に加える力は、ワイヤー矯正の約4分の1程度とされています。力がやわらかい分、歯や歯周組織への負担が小さく抑えられます。
ワイヤー矯正では力が強いため、前歯を後方へ移動させる際に、あごの骨の中にある神経や血管の管(切歯管)と歯の根がぶつかっても、さらに力をかけて動かすことが可能です。しかし、その結果として歯根吸収(歯の根が短くなる現象)が起こりやすいことが知られています。
一方、マウスピース矯正では、歯が硬い骨や切歯管にぶつかると「それ以上動かない」という反応が出やすく、結果的に歯を守る方向に働きます。
加えて、3Dシミュレーション上で歯の最終位置を0.1mm単位で事前に設計できる点は、マウスピース矯正ならではの強みです。取り外しが可能なため、口腔内を清潔に保ちやすく、矯正中の虫歯や歯肉炎のリスクを抑えやすいというメリットもあります。
渋谷東京矯正歯科の「抜歯矯正」 3つの強み
ここからは、数ある矯正歯科のなかで、渋谷東京矯正歯科の抜歯矯正がどのような点で特徴的なのかを、3つの軸でご紹介します。
①犬歯→前歯→全体の3段階で動かす、安全かつ効率的な治療設計



先ほどお伝えしたように、マウスピースでの抜歯矯正では、歯を抜いた後の大きな空間でマウスピースがたわみ、計画外の歯の動きが生じやすいという課題があります。
渋谷東京矯正歯科では、この課題に対して「3段階に分けた歯の移動設計」で対応しています。
まず第1段階として、抜歯したスペースの真ん中あたりまで犬歯(前から3番目の歯)を移動させます。犬歯がスペースの中間に入ることで、いわば「支柱」の役割を果たし、マウスピースがたわむのを防ぎます。
次に第2段階として、前歯4本を犬歯に合流させるように後方へ動かします。そして第3段階で、全体の噛み合わせを整えながら仕上げていきます。
「一気に動かす方法」と「細かく分ける方法」の中間を選ぶ理由
世界的に広く使われている手法では、歯の移動をさらに細かく3分の1ずつ分けて行います。安全性は高いのですが、マウスピースの枚数が増えるため、治療期間がどうしても長くなります。
逆に、犬歯を含めた前歯6本を一気に動かす方法もあります。マウスピースの枚数は最も少なくなりますが、抜歯による空間が大きいままで全体が動くので、マウスピースがたわみやすく、計画通りに進まないリスクが高まります。作り直しが必要になれば、結果的にかえって時間がかかってしまうこともあります。
当院の方法はその中間に位置しています。安全性を確保しつつ、治療期間の短縮にもつなげる設計です。この方法により、抜歯矯正であっても約1年〜1年半で治療が完了するケースも多く、矯正治療全体でみてもかなり短い期間での仕上がりを実現しています。
②抜歯前の「引っ張り出し」で、痛み・腫れを最小限に


抜歯前の引っ張り出し工程がわかるクリンチェック画像(開始時→数枚後の比較)。
「歯を4本も抜くなんて、痛みや腫れが心配」そう感じる方は多いのではないでしょうか。
渋谷東京矯正歯科では、歯を抜く前にひと工夫を加えています。矯正治療の最初のマウスピースを2~3枚使い、抜く予定の歯をあらかじめ外側に引っ張り出す工程を設けています。
この工程によって、歯の周りの組織がゆるみ、歯がわずかに動きやすい状態になります。実際の抜歯の際には、歯がすでに動き出しているため、ごく短時間で抜くことができます。4本の抜歯であっても、たった3分で完了することもあります。
一般的な矯正歯科では、抜歯を口腔外科など外部の医療機関に紹介するケースが多く、抜歯にかかる負担を事前に軽減するという発想自体が広まっていません。しかし当院の院長は、大学病院の口腔外科での勤務経験があり、矯正だけでなく抜歯まで院内で一貫して対応できる体制を整えています。
「治療期間をわずかでも短くするために、この工程を省く」という考え方もあります。しかし当院では、患者様の身体への負担をできる限り小さくすることを重視し、あえてこの準備工程を組み込んでいます。
③3D画像で歯根と神経を守りながら、前歯の位置を精密に設計する

歯と骨の3D合体画像(切歯管と歯根の位置関係がわかるもの)。
抜歯矯正で前歯を後方に下げる際、もっとも注意が必要なのが「どこまで安全に下げられるか」という限界点の見極めです。
上あごの前歯の裏側には、切歯管(せっしかん)と呼ばれる神経と血管が通る管があります。この管の周囲にはとても硬い骨があり、前歯の根がここにぶつかると、歯根が短くなる「歯根吸収」という現象が起こることがあります。ワイヤー矯正を含む抜歯矯正全般で、歯根吸収は以前から知られているリスクの一つです。
渋谷東京矯正歯科では、CTデータをもとに歯と骨の3D合体画像を作成し、切歯管の位置と前歯の根の距離を正確に把握したうえで治療計画を立てています。「あと0.7mmまでは安全に動かせる」「これ以上は歯根吸収のリスクが高まる」といった判断を、画像上で視覚的に確認しながら行っています。
さらに、歯の根の角度や回転、傾きも0.1mm単位で調整が可能です。アタッチメント(歯に付ける小さな突起)の大きさ、角度、厚みについても個別に設計し、歯が計画どおりに動くよう細かく調整しています。
こうした3D画像を使った計画を行わない医院も少なくありません。ワイヤー矯正では構造上、このような確認自体ができないため、「前歯をどこまで下げるか」の判断が経験則に頼りがちになります。当院では、デジタル技術を最大限に活用し、安全性と仕上がりの精度を両立させた抜歯矯正を行っています。
抜歯矯正で「老けた印象」にならないために
SNSや口コミでは、「抜歯矯正をしたらほうれい線が深くなった」「鼻の下が伸びて見えるようになった」という声を見かけることがあります。実際に、当院にも「抜歯矯正後に老けた印象になってしまったのを改善したい」というご相談が寄せられることがあります。
「自分もそうなるのではないか」と不安に感じている方に向けて、なぜこの問題が起こるのか、そして当院がどのように対策しているのかをご説明します。
前歯の位置と角度が、横顔の印象を決める
老けた印象につながる原因の多くは、「前歯の下げすぎ」にあります。
唇は前歯によって内側から支えられています。前歯が奥に入れば入るほど、唇の位置が後退し、鼻の下(人中)が相対的に長く見えるようになります。さらに前歯の角度がまっすぐに立ちすぎると、口元全体のふくらみが失われ、ほうれい線が目立ちやすくなることがあります。
つまり、「抜歯矯正をしたから老けた」のではなく、「前歯をどの位置に、どの角度で配置するかの設計が適切でなかった」場合に、老けた印象が生まれやすいということです。
前歯の最終的な位置は、Eラインとの関係、上下の唇の厚み、もともとの骨格バランスなどを総合的に考慮して決める必要があります。「口元が出ているから抜歯して下げる」という判断だけでは十分ではなく、「どこまで下げるのが適切か」を見極めることが、老けた印象を防ぐ最大のポイントになります。
シミュレーションで横顔の変化を確認してから治療を始める

AI横顔シミュレーションの画面(非抜歯の場合と抜歯の場合の横顔比較)
渋谷東京矯正歯科では、治療開始前にAIを活用した横顔シミュレーションを実施し、治療後の口元の変化をあらかじめ視覚的に確認していただいています。
「非抜歯で治療した場合、横顔はこのように変化する見込みです」「抜歯した場合は、ここまで口元が下がる見込みです」このように、複数のパターンを画像でお見せしながら、患者様のご希望とすり合わせを行います。
「ここまで下げたい」というご希望がある一方で、「これだと下がりすぎて不安」という感覚もあるかもしれません。そうした微妙なバランスを、言葉だけでなく画像で確認しながら一緒に判断できることが、シミュレーションの大きなメリットです。
ワイヤー矯正ではこうしたシミュレーションが構造上できないため、仕上がりのイメージを事前に共有しにくいという面があります。一度前歯を下げすぎてしまうと、元に戻すのは非常に困難です。だからこそ、治療を始める前の診断と計画の段階で、精度の高い見通しを持つことが大切になります。
抜歯矯正で横顔が変わる|顔貌の変化イメージをご紹介
ここまでの解説で、当院の抜歯矯正がどのような技術と考え方に基づいているかをお伝えしました。ここからは、実際に当院で抜歯矯正を行った患者様の症例をご紹介します。
case01










小臼歯4本抜歯が必要なケースで、口元の変化の希望がありました。他院では「マウスピースでは抜歯矯正が難しい」と言われましたが、当院では犬歯を支柱にした移動設計と適切なゴムかけの併用により、マウスピースのみで治療を完了しました。
| 治療内容 | 非抜歯マウスピース矯正 |
| 治療期間 | 1.5年 |
| 治療費用 | ¥935,000 |
| リスク | マウスピースの装着時間を守っていただけないと矯正治療に時間がかかり、場合によっては治療がうまく進まない可能性があります |
すべてのケースに抜歯が必要なわけではありません
ここまでお読みいただくと、「自分も抜歯した方がいいのだろうか」と気になった方もいらっしゃるかもしれません。
渋谷東京矯正歯科は、非抜歯矯正にも力を入れている医院です。遠心移動の設計力と強いゴムかけの技術を活かし、歯を抜かずに口元の印象を大きく改善してきた実績があります。非抜歯矯正ページでご紹介しているように、「この変化で抜歯していないの」と驚かれるような症例も少なくありません。
「歯を抜いて矯正する」か「歯を抜かずに矯正する」かは、患者様の歯並びや骨格、横顔のバランスによって最適な答えが変わります。大切なのは、「抜歯ありき」でも「非抜歯ありき」でもなく、精密な検査に基づいて判断することです。
非抜歯でも対応できるケース
Eラインの範囲内に口元が収まっている場合
横顔のEラインから口元が大きく前方に出ていない方は、非抜歯でも十分に満足のいく仕上がりが期待できます。当院では、親知らずのスペースを活かした遠心移動と、マウスピースの特性を活かした強いゴムかけを組み合わせることで、非抜歯でもかなりの量、口元を引っ込めることが可能です。
院長の診断基準として、Eラインから口元が出ていなければ基本的に歯は抜かないという方針をとっています。非抜歯でどこまで改善できるかを十分に検討したうえで、それでも足りない場合に抜歯を提案するという順序を大切にしています。
ガタつきが軽度〜中等度で、他の方法でスペースを確保できる場合
遠心移動、歯列の拡大、IPRの組み合わせで十分なスペースが確保できる場合、歯を抜く必要はありません。
ただし、「本当にスペースが足りるのか」を見極めるには、CTと3Dスキャンを用いた精密な診断が欠かせません。スペースが不足しているにもかかわらず無理に非抜歯で進めてしまうと、歯が骨の外側にはみ出して歯ぐきが退縮したり、前歯が出っ歯のように前方に傾いたりするリスクがあります。
当院では、骨と歯の3D合体画像を用いて、非抜歯で並べた場合に歯が骨の中に収まるかどうかを視覚的にお見せしています。患者様ご自身の目で確認し、納得していただいたうえで方針を決定します。
非抜歯矯正の治療開始までの流れ


