院長が最初から最後まで対応する
60分間のカウンセリング
レントゲンも3Dスキャンもシミュレーションも0円で。
無料でこんなに?と驚かれる当院のカウンセリング

「まず話を聞くだけ」では終わりません。初回の無料カウンセリング(60分・0円)では、口腔内の状態と「なりたい口元」を同じテーブルに並べ、必要な検査・記録までその日のうちに行ったうえで、見通し(期間・枚数・費用)までお伝えします。
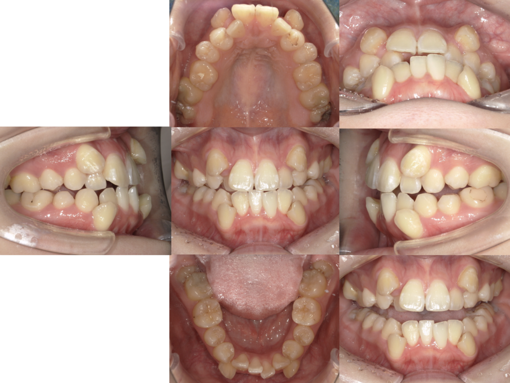
- 口腔内写真/顔貌写真/レントゲン撮影/3Dスキャン(口腔内スキャナー)
- その場で診断をご説明
- 治療後のイメージの共有(顔貌シミュレーション)
- 矯正治療費用と治療期間のご案内(概算)
これら全て、院長の片山自ら患者様にご説明いたします。
「無料なのに、ここまで見てもらえるんですね」と驚かれることも少なくありません。
0円に含まれる当日の検査・診断・ご案内
口腔内写真撮影

歯並びはもちろん、かみ合わせ・歯の傾き・歯ぐきの状態などを記録します。
治療計画は「どこを・どれだけ・どう動かすか」の設計なので、写真で「現在地」を正確に残すことが重要です。
顔貌写真撮影

「歯並びだけ整えばOK」ではなく、「口元の印象も大事」これは現代の歯列矯正のスタンダードな考え方かと思います。
患者様の顔貌写真を撮影し、顔貌のデータと3Dスキャンのデータなどを組み合わせることで、高精度な顔貌のシミュレーションが行えます。
レントゲン撮影


歯や顎の骨の状態を把握するために撮影します。見た目だけでは分からない歯の根(位置・長さ)や顎の骨の形・成長の状態、埋伏歯(歯ぐきや骨の中に埋まっている歯)、骨の異常や炎症などの有無を確認し、安全に歯を動かせるか/どの方向に動かすのが適切かの判断材料にします。
3Dスキャン(口腔内スキャナー:iTero)

口腔内をスキャンして、精密な3Dデータを取得します。
短時間で高精細な3Dスキャンが可能で、従来の印象材による型取りを不要にする設計です(スピード・精度・快適性を重視したデジタル印象)。
口元バランス(Eライン等)の評価


歯並びだけでなく、口元(横顔)の変化まで確認できる診断システムで、「口元の仕上がりも見たい」という要望にも応えます。
Eラインを示しながら、今の位置関係を一緒に確認し、治療の方向性を整理します。
抜歯/非抜歯それぞれの適応診断

「抜歯が必要と言われたけれど不安」
「下がりすぎて老けるのが怖い」
そうした声も踏まえ、歯槽骨の状態まで考慮して、「動かしすぎ」のリスクを避けつつ、非抜歯で口元の改善(Eラインの確保)が可能かどうかを検証します。
矯正後のシミュレーション

矯正治療後のイメージを目に見える形で共有します。歯並びの変化だけでなく、口元の印象の変化まで確認でき、理想の顔貌を目指せます。
口腔内スキャンで取得した3Dデータをもとに、治療計画ソフトで「歯がどう動き、どこに着地するか」を設計し、プランとして確認します。
当日の料金案内(見積のご提示)

カウンセリングの当日に、検査をした結果をもとに治療方法・必要なマウスピースの枚数・治療期間・費用の見積もりを、可能な限りその場で提示します。
当院の治療費用はトータルフィー制を導入しておりますので、最初にご提示するプラン料金以外に追加費用はかかりません。
院長ドクターが最初から最後まで対応する理由

矯正は、見た目も噛み合わせも「設計」が結果を左右します。だからこそ当院は、初回から院長が一貫してカウンセリングに対応します。
同じ1時間でも、検査を見ている人と、治療計画を決める人が別だと、情報が途切れやすくなります。写真・レントゲン・スキャンの所見を、院長がその場で確認し、根拠をもって診断いたします。
矯正相談の進め方は、医院によってさまざまです。多くの歯科医院では、前半はスタッフがヒアリングや検査を担当し、最後に医師が要点だけ説明する形になります。
当院のような、カウンセリングで1時間まるまる院長が対応することは、他の歯科医院の方が見れば「なんて時間の使い方が下手なんだろう」と思うかもしれません。経営的には、カウンセリングの大部分をスタッフに任せるのが正しいのでしょうし、当院も今のやり方をいつまで続けられるかはわかりません。
それでもこんな「非効率」なやり方を続けているのは、「自分が患者様の立場ならきっと、院長が最初から最後まで対応してくれた方が嬉しいだろうな」「その方が安心して治療を受けられるだろうな」と思うからです。
矯正治療は時間もお金もかかりますから、不安な気持ちやたくさんの疑問があるのは当然です。全て私が受け止めるので、ぜひお気軽にご相談ください。
無料カウンセリングの流れ
1. お電話またはお問い合わせフォームからご予約

無料カウンセリングは完全予約制です。お電話、またはWEB予約フォームよりご希望日時をご連絡ください。
「まずは話だけ聞きたい」「自分の悩みが矯正で改善できるのか知りたい」など、検討段階でも問題ありません。些細なことでも遠慮なくご相談ください。
03-6823-4134
WEB予約
2. カウンセリング
カウンセリングは、疑問点をすべて解消し、不安を取り除いていただくための時間です。苦手な治療がある方、抜歯/非抜歯のご希望がある方、いつまでに治療を終えたいかなど、率直にお話しください。マウスピース矯正についてはもちろん、メリット・デメリット、料金プランやお支払い方法まで丁寧にご説明します。オンライン相談にも対応しています。

重視するポイントも教えてください
患者さまが大切にしたいことは、お一人おひとり異なります。「できる・できない」を気にして諦める必要はありません。どんな些細なことでもお話しください。
- とにかく期間を早くしたい
- 歯を抜かずに矯正したい
- 奥歯は動かさず、前歯だけ部分矯正したい
- 通院回数を少なくしたい
- 就活や結婚式までに間に合わせたい
- 途中で引っ越しを予定している
- 料金を安く抑えたい
- 学生だが自分で費用を払いたい
- 他院で抜歯と言われたが、非抜歯でできないか知りたい
- 他院で手術を提案されたが、矯正で改善できないか相談したい
3. 精密検査
精密検査では、3種類のレントゲン(CT・パノラマ・セファロ)、歯並びの写真撮影、歯のスキャン(型取り)を行います。また、院長が口腔内はもちろん、顎関節を含めてチェックします。痛みを伴う処置はなく、所要時間は30分ほどです。

検査でわかること
検査をすると、見た目では見ることのできない骨や歯の根の状態がわかるようになります。そのため、一番ご自身に合った治療方法を検討でき、マウスピースの枚数・期間・料金の見通しも立てやすくなります。
- お口の中の現状
- 症状の程度(軽度/中度/重度)
- 虫歯や歯周病の有無
- 親知らずの状態
- 歯ぐきより下の、骨や根の状態
- 顎関節の状態
4. 診断/治療方針のご説明
精密検査の結果をもとに、今後の治療方針をご説明します。気になっている症状について、原因や程度を整理しながら、治療方法・期間・料金まで具体的にお伝えします。シミュレーションも確認できるため、マウスピースの枚数や仕上がりの歯並び、口元のビフォーアフターまで把握できます。

診断でわかること
- 歯並びや口元、お口の中の現状
- 治療方法(抜歯/非抜歯など)
- シミュレーション
- マウスピースの枚数
- 治療期間
- 正面/横から見た口元のビフォーアフター
- 料金
5. 矯正後の歯並びや顔貌のシミュレーション
矯正治療は高額だからこそ、患者さまが「検討する時間」をしっかり持てることが大切だと考えています。ご自身の現状を知り、歯並びのゴールが具体化すれば、多くの不安が整理できます。シミュレーションを見てから検討できるため、後悔のない選択につながります。

こんなお悩みも「実際に見れる」から解決できます
- 抜歯と非抜歯で、仕上がりの違いを見比べたい
- 全体矯正と部分矯正で、仕上がりの違いを見比べたい
- 矯正後の口元の下がり具合を確認したい
- 横顔のビフォーアフターも見たい
- 自分に合っている治療方法を知りたい
03-6823-4134
WEB予約
遠方の方・忙しい方に向けたオンライン相談も実施

遠方からご来院される方も多いため、当院では Zoomを用いたオンラインの無料カウンセリングも行っています。
オンラインの場合は、レントゲンやスキャンなどの検査ができない分、所要時間は約30分です。Zoom上で可能な限り歯並びを視診しながら、治療のご希望(期間、抜歯/非抜歯、部分矯正、通院頻度など)を丁寧に伺い、マウスピース矯正で実現できる可能性があるかどうかを一次判定します。
特に遠方の患者さまにとって、「わざわざ来院したのに、そもそも矯正が難しいケースだった」と分かるのは大きな負担です。事前にオンラインで「絶対に矯正が難しい可能性が高いケース」を見極めることで、来院後の落胆や時間・交通費の無駄をできるだけ防ぎ、安心して次のステップへ進めるようにしています。
矯正治療が始まってからもオンライン診療を活用し、通院回数を半年〜1年に1回程度まで抑える、オンライン矯正治療にも取り組んでおります。詳しくは以下のページをご覧ください。
オンライン矯正治療専門外来
