歯列矯正のゴムかけとアタッチメントの効果

矯正治療では、患者さんに「ゴムかけ」をしていただくことがあります。「ゴムかけ」とは、ワイヤー矯正やマウスピース矯正でおこなわれる、特殊なゴムを使った処置のことで、別名「顎間(がっかん)ゴム」「エラスティックゴム」と呼ばれており、「医療用の天然ゴム」を上下の矯正装置のフック(マウスピース矯正では突起物)に引っ掛けて、メインの矯正装置ではできない細かな歯の移動や噛み合わせの調整をおこないます。
患者様の歯並びや噛み合わせの状態によっては不要な方もいらっしゃいますが、多くの方に「ゴムかけ」が必要です。ゴムかけを始めるタイミングは患者さんによって異なり、最初から必要な方もいれば、ある程度歯並びが整ってから噛み合わせの改善を目的におこなうこともあります。
歯列矯正は、歯に力をかけてゆっくりと動かしていく治療法です。しかし、マウスピースやワイヤーだけでは、歯を三次元的に動かすために必要な力をかけることができません。そこで、補助的に用いられるのがゴムかけです。ゴムかけは、歯に適切な強さで引っ張る力を加えることで、歯を効率的に移動させることができます。患者様一人ひとりの歯並びや噛み合わせに合わせて、適切な位置かつ適切な強さで歯を動かすことにより、治療期間の短縮にもつながります。
メインの矯正装置に加えて「ゴムかけ」もおこなうことで、より確実にキレイな歯並びの実現が可能となります。治療計画に応じてゴムをかける場所や強さを変えることで、より細かく歯を動かせます。

歯を傾斜させて移動することです。
歯を傾斜させることなく平行に移動することです。
歯を根っこから引っ張り出す移動のことです。
歯を根っこへ押し込む移動のことです。
歯を回転させる移動のことです。
歯の根っこを傾斜させて移動することです。
矯正治療の目的は、「見た目の美しさ」と「よく噛める機能性」を両立させることです。ワイヤー矯正やマウスピース矯正の矯正装置は上下に分かれているため、上下それぞれの歯列がキレイに整っても、上下の歯を噛み合わせたときにズレや隙間が生じることがあります。「ゴムかけ」をおこなうことで、上下の歯の隙間を埋められるため、よく噛めるようになります。
上下の歯がうまくかみ合っていなければ、食べ物をうまく噛めなかったり、顎関節症のリスクが高まったりする可能性があります。ゴムかけによって上下のあごの歯に適切な力が加わることで、あごの位置のずれを調整し、理想的なかみ合わせに近づけることが可能になります。
「ゴムかけ」には主に以下の4種類があり、歯科医師が個々の患者さんに最適なものを選びます。
- 2級ゴム
- 3級ゴム
- 垂直ゴム
- クロスゴム
Ⅱ級ゴム

2級ゴムは、主に出っ歯/口ゴボ(上顎前突)で使われるゴムかけです。
上顎の前から3番目の歯と、下顎の前から6番目の歯に斜めに引っ掛けることが多く、上顎の歯列を後方へ移動させます。
Ⅲ級ゴム

3級ゴムは、主に受け口(下顎前突/反対咬合)で使われるゴムかけです。
下顎の前から3番目の歯と、上顎の前から6番目の歯に斜めに引っ掛けることが多く、下顎の歯列を後方へ移動させます。
クロスゴム

クロスゴムは、交叉咬合(こうさこうごう/上下の噛み合わせが左右にずれている状態)で使われるゴムのかけ方です。
上下の同じ位置の歯に噛み合わせをまたぐようにゴムをかけることで、噛み合わせのずれを改善します。
垂直ゴム

垂直ゴムは、開咬(オープンバイト/奥歯だけが噛み合い、前歯や小臼歯が嚙み合わず開いている状態)の治療に使われるゴムのかけ方です。
上下の同じ位置の歯にゴムを引っかけて縦に引っ張り合うことで、前歯で噛めるようにします。
ゴムかけの方法


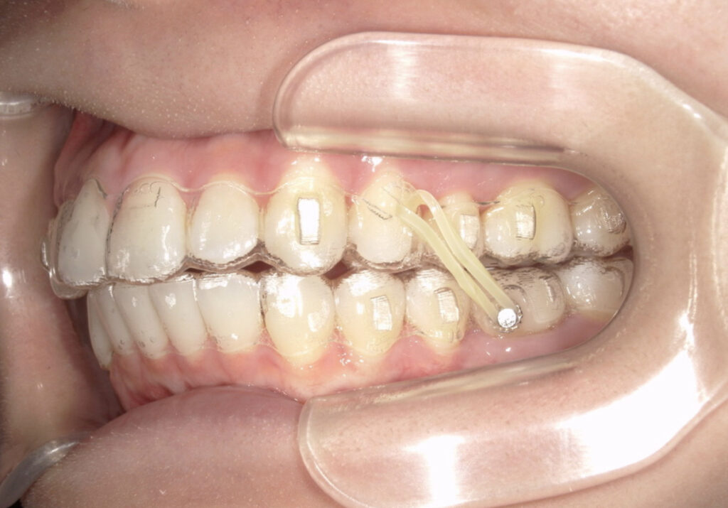
ゴムかけは、ボタンと呼ばれるフック(突起)を歯に付け、そこにゴムを引っかける仕組みとなっています。
ゴムかけの装着時間

ゴムかけをする時間は個々の患者さんの症状によって異なりますが、基本的には1日20時間以上(食事と歯磨きの時間以外)付けておく必要があります。
ゴムかけの期間
ゴムかけの期間は、数か月~数年と個々の患者さんの症状や目指す歯並びなどによって異なります。歯列矯正の最終段階にのみおこなうケースもあれば、最初から終了まで必要な場合もあります。
ゴムかけをサボってしまうと、さまざまなリスクや問題が生じる可能性があります。
治療期間が延びてしまう
ゴムかけは、歯に一定の力をかけることで歯を動かし、矯正治療を進めるために非常に重要な役割を担っています。そのため、指示された通りにゴムかけを行わないと、歯の動きが悪くなり、治療期間が延びてしまう可能性があるのです。
目的の効果が得られない可能性がある
ゴムかけは、歯やあごに一定の力をかけることで、歯をゆっくりと動かしていきます。しかし、装着時間が短かったり、ゴムかけをサボったりすると、歯に十分な力が加わらず、歯の動きが鈍くなってしまうのです。例えば、出っ歯の治療中にゴムかけを使用する場合、奥歯と前歯に顎間ゴムをかけることで、前歯を奥に引っ込める力を加えます。しかし、ゴムかけをサボってしまうとこの力が十分に働かず、前歯が計画通りに動かないため、出っ歯の改善が見られない可能性があります。
妥協的な仕上がりになってしまう可能性がある
ゴムかけは、マウスピース単体の力では難しい歯の動きを可能にする役割があるため、サボってしまうと難しい歯の動きができず、妥協的な仕上がりにならざるを得ません。
せっかく動かした歯が元に戻ってしまう
ゴムかけを怠ると、せっかく動かした歯が後戻りしてしまいます。

マウスピース型矯正装置で歯が動く原理はどうなっているのかというと、現在の歯並びからほんのわずかに動かした状態(約0.2mm程度)のマウスピースを作製し、それをはめることにより歯に力がかかり、マウスピースの設定通りの位置に歯が動きます。歯が動いたら、またその位置からわずかに動かした状態のマウスピースを着けます。それを7~10日間隔で連続的に繰り返すことにより歯を並べていきます。
マウスピースで力をかけていきますが、歯の表面は滑沢でツルツルしているため、歯が動いた時にマウスピースは歯の表面で滑って浮いてしまいます。歯は回転運動を起こしてしまい、歯とマウスピースは合わなくなってしまいます。こういう状態になってしまうと、歯に上手く力がかからないため、正確に歯を動かすことができなくなってしまいます。
歯にアタッチメントと呼ばれる突起を着けることにより、歯とマウスピースの間に機械的な嵌合力が生まれ、歯とマウスピースがしっかりと密着するようになります。歯に力をかけた際に、マウスピースが浮き上がるのを防ぐことができるため、歯を正確にコントロールすることができるようになります。

アタッチメントはねじれや動かす量が多い歯に特に必要になります。元々歯のガタガタがあまりない患者さんではアタッチメントを着ける部位を少なくすることができますが、大抵の患者さんではほとんどの歯に何らかのねじれや凸凹があるため、それだけ多くの歯にアタッチメントを着ける必要があります。アタッチメントを着けると少し違和感がありますが、すぐに慣れてきます。アタッチメントを付けないと期待通りに歯が動いてくれませんので、満足のいく仕上がりになるために必要な補助装置と捉えておきましょう。
「ゴムかけ」も「アタッチメント」もどちらもご自身の歯に突起を付ける必要があります。この突起は基本的に矯正期間中ずっと付けておくことが多く、症状に応じて付ける突起の個数や、付ける歯の位置は変わります。
矯正期間中、突起が取れてしまうことがあります。マウスピースを取り外すときや、食事中に外れてしまうことがあるためですが、外れたまま続けてしまうと、当初予定していた治療計画に誤差が生じ、マウスピースが合わなくなったり、歯の動きが悪くなってしまう可能性が高まります。よって、突起が外れてしまったらすぐに歯科医院にて付け直しをしてもらう必要があります。

できる限り歯に突起を付けたくない方へ

仕事柄、できる限り自分の歯に突起(アタッチメント)を付けたくない…。

突起(アタッチメント)を付けるとしても、なるべく少なくしたい…。

突起(アタッチメント)が取れてしまった場合にわざわざ歯医者に行くのが面倒…。
高機能搭載マウスピース


エンジェルアライナーなら従来のストレスが解消

従来のマウスピース矯正はアタッチメントと呼ばれる突起(補助装置)を多くの歯に付けるケースが大半であり、矯正期間中に外れてしまった場合は医院にて付け直しをする必要がある。

従来のマウスピース矯正は矯正用のゴム掛けを行うための突起(フック/ボタン)を歯に付ける必要があり、矯正期間中に外れてしまった場合は医院にて付け直しをする必要がある。

歯茎を覆っていないマウスピースの場合、歯と歯茎のキワ部分をしっかり覆うことが難しく、歯根(歯の根っこ)に矯正力がかかりにくい。

従来のマウスピースは取り外しがしやすい分、はまり込みが甘くなり、マウスピースが浮いてしまい計画通りに歯が動かないことがある。それを回避するために歯に付けるアタッチメント(突起)の数も増えてしまう。


アタッチメントは最小限に、ゴムかけの突起は歯に付けなくてOK!
高機能搭載マウスピース「エンジェルアライナー」はどんな形の歯もしっかり掴む密着仕様のマウスピースであるため、アタッチメントと呼ばれる「突起」の数を大幅に減らすことを可能にしました。ゴムかけに必要な補助装置もマウスピース自体に付いている一体化仕様のため、患者さまの歯に直接付ける必要がありません。
従来のマウスピースの弱点を解消したエンジェルアライナーは、歯の移動実現性を高め、途中で補助装置が外れてしまうこともないため、通院回数を大幅に減らすことを可能にしました。当院ではこの高機能搭載マウスピースの取り扱いを認められているため、オンライン矯正も可能となっています。

アタッチメントが少ない

マウスピースがどんな形の歯も隙間なくしっかり掴んで動かす密着仕様のため、歯を動かす力が強く、アタッチメント(突起)の数を減らすことが可能です。

フック一体化

矯正用のゴムかけを行うための突起(フック/ボタン)はマウスピースに一体化しているため、歯に付ける必要がなく外れてしまうこともありません。

歯と歯茎のキワまで掴む

マウスピースは歯茎を2㎜覆っている仕様で、歯と歯茎のキワの部分までしっかり掴むことができているため、歯の根っこまで矯正力をかけることが可能となっています。

歯をしっかり掴んで動かす

従来のマウスピースに比べて、歯にしっかりはまり込む仕様になっているため優れた矯正力を発揮することが確認されています。これにより治療計画通りに矯正を進めていくことを可能にしています。

エンジェルアライナーの特徴
「エンジェルアライナー」は現在はまだ矯正治療専門の限られた歯科医院でしか取り扱うことができず、限られた歯科医師のみ(現在100人程度)しか使用が認められていません。当院はマウスピース矯正の専門歯科であり、認定医であることから、この最先端のマウスピースを使用した矯正治療を受けていただくことが可能です。



インビザイランを含め多くのマウスピースブランドが欧米人の骨格や歯並びをデータベースとしているのに対して、エンジェルアライナーはアジア人の骨格や歯並びをデータベースにしています。そのため、より日本人に最適化された歯の動かし方や仕上がりを実現します。
エンジェルアライナーは現在はまだ矯正治療専門の限られた歯科医院でしか取り扱うことができず、限られた歯科医師のみ(現在100人程度)しか使用が認められていません。したがって高い技術と経験を持つ歯科医師が治療を担当するため安心です。
従来はせっかく透明のマウスピースでも歯に補助装置を付ける必要がありましたが、エンジェルアライナーはマウスピースに組み込まれているため、歯に付ける必要がなく、目立ちません。矯正中に補助装置が外れて付け直しのために歯医者へ通う必要もなくなりました。
マスターコントロールSという新世代医療グレードのポリマー材料を使用。従来の材料と比べて緩みやたるみによる矯正力の衰えが少なく引き裂き強度も強いことから、マウスピースの破損によって通院回数が増えたり治療期間が延びたりすることもありません。この素材は弾力があり復元力に優れていて着脱しやすいため、食事や歯磨きもスムーズに行えます。
強い矯正力がかかる高機能マウスピースだから歯の移動が正確に行われることと、矯正中に歯に付けた補助装置が外れる心配もないことから、通院回数が大幅に減少しました。
他の矯正装置に比べ、エンジェルアライナーは歯に加わる力が分散される設計のため、治療中の痛みが少ないのが特徴です。
エンジェルアライナーのマウスピースは透明なプラスチック素材のため、金属アレルギーをお持ちの方でも安心して矯正治療を受けていただけます。
エンジェルアライナーなら必要最低限の通院で矯正が可能なため、全国どこにお住まいの方でも、オンライン矯正を利用して当院の矯正治療を受けていただくことができます。


渋谷なら通える

渋谷駅3分

夜19:30まで

土曜も診療

オンラインも対応







スクランブル交差点を斜め右前方(TSUTAYAの右手)へ。タワーレコードまで直進します。

タワーレコードの交差点に着くと前方にニトリが見えます。ニトリ沿いの歩道に信号を渡ってください。

信号を渡って3軒目のビル1階に「オオギ薬局」があります。このビルの3階にございます。

渋谷東京矯正歯科
〒150-0041 東京都渋谷区神南1-12-16 和光ビル3階
診療時間
水・木・金 10:30~14:30 / 15:30~19:30
土 9:30~13:30 / 14:30~18:30
詳しいアクセスはこちら





















