歯並びは良いのに口ゴボに見えるのはなぜ?

「歯並びは良いのに、横顔を見ると口元が出て見える…」と感じている方は少なくありません。一般的に、歯並びが整っていれば口元も自然に美しく見えると考えがちですが、実は歯並びの良し悪しと口元のバランスは必ずしも一致しません。
歯科や美容の分野では、こうした状態を「口ゴボ(くちごぼ)」と呼びます。医学的には「上下顎前突(じょうげがくぜんとつ)」と分類されることもあり、上あごと下あご、あるいはその両方が前方に突出している骨格的な特徴が関係していることもあります。歯並びが整っていても口ゴボになることは十分にあり得ます。
口ゴボとは?

『口ゴボ』とは一般的に口元が出ている状態を指して使っている言葉です。現在は多くの患者様の中で浸透しています。
専門的には「上下顎前突(じょうげがくぜんとつ)」もしくは「上顎前突(じょうがくぜんとつ)」と言い、いわゆる出っ歯の症状を指します。
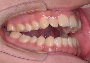
歯並びがきれいなのに、なんだか口元の突出感が気になる。そんな悩みを抱えている人は少なくありません。特に最近では、SNSで横顔の写真を撮る機会が増えたことで、自分の口元が気になり始めた人も多いのではないでしょうか。口ゴボの原因がわかれば、適切な対処法も見えてきます。ここでは、歯並びは良いのに口ゴボに見えてしまう具体的な理由を、実際のケースを交えながらわかりやすく説明していきます。
骨格の遺伝

口ゴボは上下の歯が前方に出ているだけでなく、顎の位置や遺伝による骨格的な前突が影響している場合があります。上顎の歯が並ぶ骨が狭いために下顎が前に成長できない場合など、骨の異常による「骨格性」と呼ばれる上顎・上下顎前突による口ゴボです。
そもそもの骨格が原因の場合も多いですが、顎の成長は幼少期に硬いものを食べなかったり、顎をしっかり使えていなかったなど、食生活や習慣によって成長が抑制された場合もあります。
- 上下顎前突(じょうげがくぜんとつ):上下のあごの骨ごと前に出ている状態。唇が前に押し出される。
- 下顎後退(かがくこうたい):下あごが後ろに引っ込んでおり、相対的に上唇が突出して見える。
このような骨格の問題は、歯の位置ではなく“土台そのものの前後バランス”に原因があります。
上下顎前突・下顎後退といった骨格的な問題は、歯列矯正だけでなく外科的手術(顎切り術)による治療が必要になることもあり、日本口腔外科学会や日本矯正歯科学会ではこれらの症例に保険適用される条件を定めています。
歯の角度や全体的なバランス

前歯の傾斜による出っ歯・口ゴボです。歯槽性上顎前突と言って、骨格の問題ではなく歯の生える向きの問題です。歯列が整っていても、前歯が少し前方に傾いて生えていることで唇を押し出す形になり、結果的に口元が出て見えることがあります。また、顎が小さめだったり鼻が低めだったりすると、相対的に唇が前に出ているように見えてしまうことがあります。
- 歯が前方に傾斜して並んでいる(前突傾向)
- 歯列のアーチが狭く、前方に張り出している
このような場合、見た目ではガタガタしていなくても、歯全体が歯全体が唇を内側から押し出すような力をかけており、口元が突出した印象を与えてしまいます。このタイプの口ゴボは、マウスピース矯正で角度を調整することで改善が期待できるケースもあります。
幼少期の指しゃぶりや、口で息をする口呼吸が原因の場合、舌で歯を前に押す「舌癖」などが原因で起こる、主に後天的な上顎前突です。
治療法としては主に歯列矯正が有効です。ただし、習癖が原因の場合、矯正後の後戻りに拍車をかける場合もありますので、習癖(指しゃぶりや爪噛みなのどのくせ)や舌癖(舌で前歯を押したりする癖)なども改善する必要があります。
唇・口周りの皮膚や筋肉の問題

歯並びがよくても、唇が厚かったり口周りの皮膚が厚かったりする場合に、口元が前に出て見えてしまうケースがあります。
歯や骨の問題がなく、唇が分厚い・口元の皮膚が厚い場合の口ゴボです。また、逆に顎の軟組織(皮膚や筋肉)が薄い場合もかえって口がモコッと見える場合もあります。ダイエットや表情筋のトレーニングで変わることもありますが、遺伝的な口唇の厚みや顔貌は改善が難しいこともあります。
- 上唇が厚く前方に張り出している
- 鼻の下(人中)が長く、唇が自然と前傾する
- 唇の輪郭が強く浮き出て見えるタイプ
これはいわゆる「軟部組織(なんぶそしき)」による要素で、骨や歯ではなく“見た目のボリューム”が口元を前に見せる要因となります。たとえば、外国人モデルのような厚みのある唇は魅力的に見える反面、Eラインから前に出ることで「口ゴボ」に分類されることもあります。
口腔習癖

幼少期から続く口腔習癖が歯並びや噛み合わせに悪影響を及ぼすということは多くの方がご存じだと思いますが、実は口腔習癖が口ゴボを悪化させてしまう可能性もありあす。
口呼吸や柔らかいものばかり食べる食生活、指しゃぶりや爪噛み、舌で前歯を押す癖などがある場合は、早めに改善するようにしましょう。
- 口呼吸の習慣があると、唇を閉じる筋肉が衰え、常に口が開きがちになり、口元の張り出しが目立ちやすくなります。
- 低位舌(ていいぜつ):舌が下に落ちている状態。あごの発達が妨げられ、バランスが崩れます。
- 唇を閉じる癖がない/力を入れないと閉じられない という方も、筋機能のアンバランスによって見た目に影響を及ぼします。
奥歯と前歯の噛み合わせの乱れ

口ゴボの原因は見た目だけでなく、噛み合わせ(咬合)のバランスの乱れにあることもあります。
特に以下のような咬合状態があると、前歯が前に押し出されて見えやすくなります。
- 前歯が咬んでいない(開咬傾向)
- 奥歯の咬み合わせが浅く、前歯に負担が集中
- 下の前歯が内側に傾き、上の前歯を押し出している
これらは専門的な検査をしなければわかりにくいため、「歯並びは綺麗だけど…」と思っている方ほど実は噛み合わせに問題があるケースも珍しくありません。
歯は1本単位で見るのではなく、上下の咬合関係を含めてトータルで診ることが重要です。矯正歯科では、こうした咬合診断も含めた精密検査を行い、見た目と機能の両立を目指す治療計画を立てることが可能です。

マウスピース矯正

透明のマウスピースで目立たずに矯正することが可能です。抜歯をして口元を下げる場合もマウスピースで対応可能です。
ワイヤー矯正(表側)

ワイヤー矯正は適応症例が多いですが、全ての歯の外側に装置が付くため、治療期間中の口元の突出感はさらに大きくなってしまうのが難点と言えます。
ワイヤー矯正(裏側)

裏側矯正は奥から歯を引く力をかけていくことが可能なため前歯を引き込みやすく、前突の治療に適した治療です。ただし滑舌や痛みの問題などもあるため、他の矯正より耐える覚悟は必要です。

口ゴボでお悩みの方で、特に歯並びが良い方にっとっては「前歯だけの問題」と考えてしまう傾向が強いため「前歯の矯正だけで治らないですか?」という質問を良く受けます。
前歯だけの矯正で治せるかどうかは、オーバージェットという前後位置関係の距離が比較的小さい場合、もしくは歯を動かすスペースが確保出来る場合は前歯のみの矯正で治る場合もあります。
オーバージェットは正常な咬み合わせの場合の幅は2〜3mm程度です。この差が大きいと、前歯を後ろに引く距離が長くなるため、抜歯等が必要になったり、後ろ(臼歯の方向)へ送る場合は全体矯正が必要となります。

歯を奥歯から後ろに送ることで、突出した前歯を引っ込める方法です。ただし奥に送れる距離には限界があります。

歯を少しずつ削るストリッピングという技術を使い、数ミリずつの隙間を作り、歯を内側に引っ込める方法です。

歯を抜いてそのスペースを利用して突出を下げる方法です。一般的には4番目の歯を抜歯することが多いです。

上顎の歯を抜いて骨ごと切り取って移動したり、下顎の骨を切り離し、下顎を前に移動する手術による矯正です。

口ゴボは見た目のコンプレックスとして注目されることが多いですが、実は美容面だけでなく、健康や生活の質にも影響を及ぼすことがあります。歯並びが良いからといって口ゴボを放置すると、さまざまな支障をきたしてしまう可能性があるので注意しましょう。
口ゴボの状態では、上下の歯が正しく噛み合っていないことがあり、食べ物をうまく噛めなかったり、咀嚼に偏りが出たりすることがあります。これが慢性化すると、顎関節症や肩こり、頭痛など全身に影響を及ぼす可能性があります。
口元が前に出ていることで、唇の動きや舌の位置がズレてしまい、「サ行」や「タ行」などの発音が不明瞭になるケースもあります。特に人前で話す仕事をしている方や、お子様の場合は、コミュニケーションの自信低下につながることも懸念されるでしょう。
口ゴボの状態は唇を自然に閉じにくいやめ、口呼吸が習慣化してしまうことがあります。口呼吸は口腔内が乾燥しやすくなるため、虫歯や歯周病のリスクを高めるほか、免疫力低下にもつながるといわれています。
口ゴボによって、顔全体のバランスが崩れると、実年齢よりも老けた印象を与えてしまうこともあります。特に、唇周りの筋肉が常に緊張していると、ほうれい線が目立ちやすくなり、表情にも疲れが出やすくなります。

そもそも本来、呼吸は鼻でするもので、鼻は空気中の異物やウイルスを取り除き、冷たく乾燥した空気を加湿、加温してくれるフィルターの役割をしているため、鼻呼吸は外気を体にとって害のない綺麗な空気にして肺に送ります。一方、口呼吸は空気中のウイルスや冷たい空気が直接肺に侵入するため、様々な病気や症状に繋がります。
ほうれい線の悪化
一般的に、ほうれい線は加齢とともに深くなるものですが、口ゴボの症状のある方はその進行が早まることが知られています。その理由は、出っ歯により口腔周辺の筋肉のバランスが崩れ、それが結果としてほうれい線の形成を促進するからです。出っ歯は「不正咬合」の典型的な例です。不正咬合とは、上下の歯が正常に噛み合っていない状態を指します。不正咬合は、顔の筋肉の動きを不自然にしてしまうことがあります。結果として顔の表情に影響を及ぼし、特にほうれい線の形成を促す可能性があるのです。
審美的な問題による自信喪失
口ゴボは、顔のプロポーションや横顔のEライン、表情に影響を与えるため、自己意識の低下や自信喪失につながることがあります。特に、社交的な状況や仕事の場での第一印象など、見た目が重視される状況では、出っ歯が精神的なストレスとなることがあるため、適切な対処が求められます。出っ歯の原因や程度に応じた適切な治療は、これらの問題を予防または改善するために重要です。早期に歯科矯正医の意見を得ることで、より健康な口腔の状態を維持できるでしょう。

梅干しシワにはボトックスも有効
口ゴボの方が口を閉じる際、下唇を持ち上げるオトガイ筋に力が入ってしまうため梅干しシワと呼ばれる細かなシワを作ります。インビザライン矯正で口元を下げることで改善を図りますが、お口周りの筋肉が関係しているため、ボトックスを注入することで筋肉の力を弱めた結果、効果が得られるケースもあります。

口ゴボを改善するには、「なんでそう見えるのか?」という原因をしっかり見極めることが大切です。口ゴボに見える理由は人によって違い、それによって治療法も大きく変わってくるからです。
骨格のバランスが原因なのか、歯の角度のせいなのか、それとも筋肉や舌のクセなのか。まずはその“原因”を正しく知ることで、自分に合った改善法が見えてきます。
歯の傾きが原因の場合
歯並びがきれいでも、前歯が前方に傾いて生えている(前突)状態だと、唇を内側から押し出す力がかかり、口元がもっこりして見えることがあります。このようなタイプの口ゴボは、マウスピース矯正で改善できる可能性が高いとされています。
✅ マウスピース矯正が効果的な3つの理由
・「角度の微調整」が得意な治療法
→ マウスピース矯正は、1本1本の歯をミリ単位で計画的に動かせるため、前歯のわずかな傾きによる口ゴボに対応しやすい
・必要な歯だけをコントロールできる
→ 奥歯や噛み合わせに大きな問題がなければ、前歯中心の治療で済むこともあり、治療期間が比較的短くて済む
・見た目や生活への影響が少ない
→ 装置が透明で目立ちにくく、取り外しも可能なため、日常生活に支障なく継続しやすい
骨格のズレが原因の場合
上下のあご全体が前方に出ている「上下顎前突」や、下あごが引っ込んでいる「下顎後退」といった骨格性の口ゴボは、歯並びが整っていても見た目の改善が難しいことがあります。これは、歯の位置だけでなく、土台となる顎の骨格にズレがあるためです。
✅ こうした場合に考えられる治療法
● 外科矯正(顎切り手術+歯列矯正)
・上下のあごの骨格バランスを整える根本的な治療
・保険適用になるケースもあり(顎機能診断により認定される場合)
・発音障害・咀嚼障害などがあると適応の可能性が高まる
● オトガイ形成・輪郭形成(美容外科的アプローチ)
・顎のラインやフェイスラインを整えることで、横顔の印象を改善
・「Eラインの整え方」として美容目的で選ぶ方も
・骨格が原因でも、軽度であれば歯列矯正と合わせた選択肢に
骨格性の口ゴボは「機能改善」と「見た目のバランス」をどう取るかがポイントになります。そのため、矯正歯科医と顎顔面外科医、または美容形成医が連携している医療機関での相談が安心です。
舌の癖・口呼吸が原因の場合
歯や骨格に大きな問題がないのに、「口がぽかんと開いてしまう」「舌が常に下がっている」といった口腔習慣の乱れが、口ゴボの原因になっているケースもあります。これは、筋肉の使い方のクセや呼吸方法の影響で、口元が前に押し出されるような力がかかるためです。
✅ MFT(口腔筋機能療法)で改善できる主な方法
・舌の正しい位置を身につける(スポットポジション)
→ 舌が本来あるべき位置を習慣化することで、顎や歯列への余計な圧力を防ぎます。
・唇まわりの筋力トレーニング
→ 口が開きがちな人に有効。唇を自然に閉じる力を育てます。
・飲み込み、発音時のクセを改善
→ 舌を前に突き出すような嚥下(えんげ)のクセを修正し、前歯や唇への不要な力を減らします。
●矯正と併用することで効果UP
MFTは、単体でも口元のバランス改善に有効ですが、歯列矯正と併用することで治療効果の安定や“後戻り”の防止にも役立つとされています。とくに、口呼吸や舌の位置が原因で口ゴボになっている方には、根本的な改善アプローチとしておすすめです。
- 詳しくはこちら
-
「出っ歯を治すトレーニング」は実際のところありません。しかしながら、「出っ歯を予防するトレーニング」は存在しています。これは、子どもの歯並び予防などに用いられる「MFT(口腔筋機能療法)」というトレーニングで、お口まわりの筋肉を整えて、正しく機能させるためのものです。
たとえば、「舌を前に出す癖」や「口呼吸」などがあると、出っ歯になりやすくなったり、悪化したりするリスクがあります。MFTのトレーニングでは、これらの出っ歯になった根本的な原因や、悪化リスクを改善することが期待できます。
MFTトレーニングとは?
歯並びが悪くなる原因は遺伝だけではありません。歯並びはそもそも、頬と唇の力と舌の力のバランスの間で成り立っており、普段の生活の中で猫背だったり頬杖や早食いをしていたり、口呼吸や舌が正しい位置にないなどの『悪い癖』があるとお口の周りの筋肉がアンバランスになり歯並びが悪くなってしまうのです。

MFTトレーニングとは口の周りの筋肉(口腔周囲筋)の不調和を改善し、その状態を維持するトレーニングです。
あなたは大丈夫?口腔周囲筋のバランスをチェックしてみよう!
口腔周囲筋がアンバランスな状態にはどのようなサインがあるのでしょうか?
- 無意識で口が開いている
- 口呼吸
- 唇が分厚い、カサカサしている
- 食いしばりがある
- 滑舌が悪い
- 舌が正しい位置にない
まずは正しい舌の位置を知って体の健康を維持していきましょう。

このトレーニングは舌の筋肉を鍛えるためのもので、以下の手順で行います。
①舌全体を上あごに吸い付け、口を大きく開けて舌の裏のヒモを伸ばします。この時、舌の先が上前歯の根本に軽く触れる場所にあること、舌の前の方だけでなく、後ろの方まで上あごの裏側に吸い付けていること、舌が上の歯を覆わず上の歯列の内側に収まることが必要です。
②舌を下におろし、「ポン!」と音を立てます。舌全体が吸い付いていないと軽い音がしてしまいます。舌を吸い付けることの出来ない人は、ペタペタと音を出すことから始めましょう。音の出る直前は舌の一部が吸い付いているはずです。徐々に舌全体が吸い付くようにし、そしてだんだん舌の裏のヒモを伸ばせるようにしていきましょう。
このトレーニングは嚥下(えんげ)の練習で、以下の手順で行います。
①舌の先をスポットにつけて舌全体を上あごに吸い付け、上の犬歯(糸切り歯)の後ろにストローを置いて、舌の裏側に当てます。そしてそのまま軽く歯を咬み合わせます。
②スプレーで口の横から奥歯に向かって水を吹き入れ、音を立てて水を吸い込みます。
③後ろに水を集めたら、奥歯を噛んだままゴクンと飲み込みます。正しい嚥下では口唇は軽く閉じていますが、この練習では口唇を開けた状態で飲み込みます。そのため、鏡で嚥下時の舌の状態がチェックできます。舌が前に出てこないように、舌の先を前歯の後ろのスポットと呼ばれる部分から離さないように気をつけてください。
口ゴボの方の多くは歯列矯正で治療が可能ですが、外科矯正が必要な場合や、歯や歯列以外が原因の場合もあります。口ゴボで悩まれている方の多くは、その治療をどこにお願いすれば良いかわからないという方もおられます。また、ご自身では「骨格性なのか」「歯槽性なのか」「軟組織の問題なのか」わからず、歯列矯正で治療ができるかどうかわからないという方もおられます。しかし、それは歯科医師が見ればわかることですので、ご自身で悩まれる必要はありません。まずはご相談だけでもお気軽にお越しください。








