ウエストランド井口 歯
歯が二列に重なっている歯並び
前歯の二重歯列は矯正治療で治せます
渋谷東京矯正歯科では
マウスピース矯正だけで治ります
渋谷東京矯正歯科では、前歯が二列の歯並び(二重歯列)を目立たないマウスピース矯正で治すことが可能です。他院でワイヤー矯正を提案された方も、マウスピースだけで完治できていますので、諦めずに当院までご相談ください。
渋谷東京矯正歯科では
二重歯列をマウスピースで矯正できます
「ワイヤー矯正でしか治せない」
と言われた方もマウスピース矯正だけで治ります
マウスピース矯正
前歯が二列の歯並びを
マウスピースだけで改善した症例
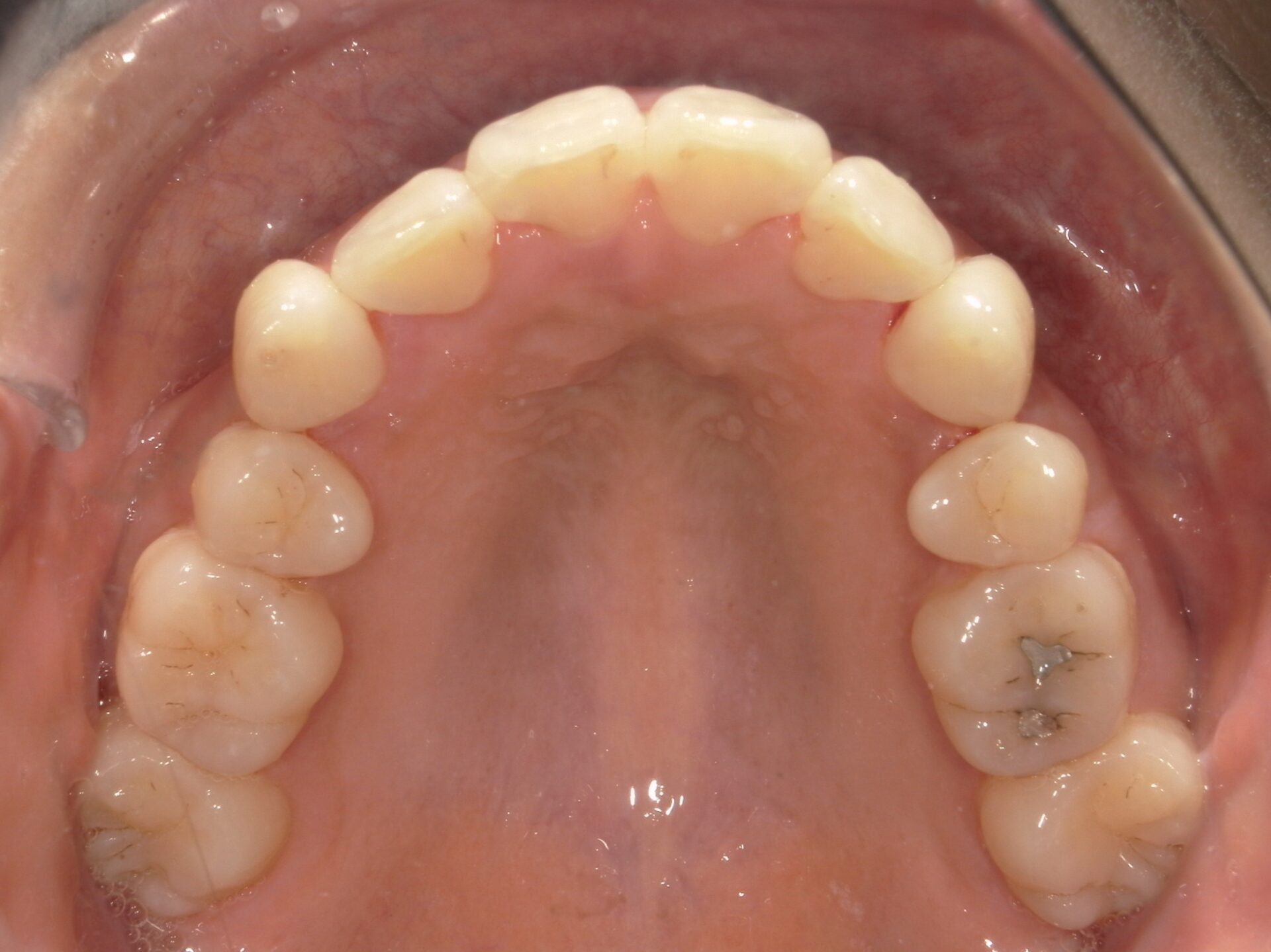
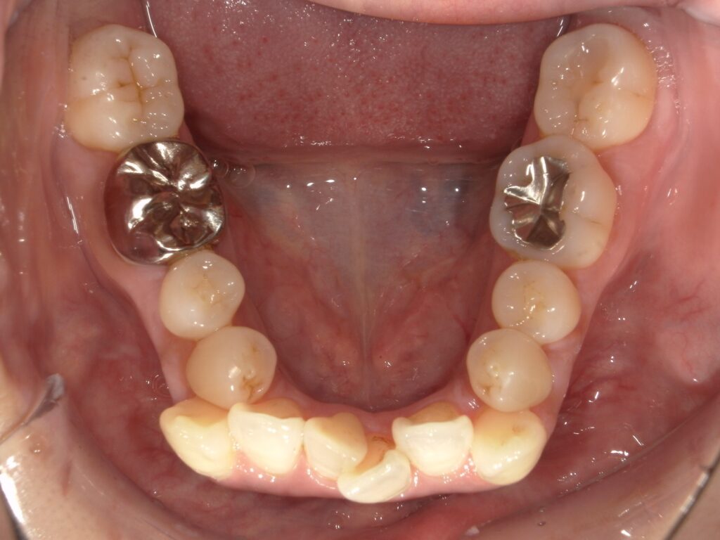
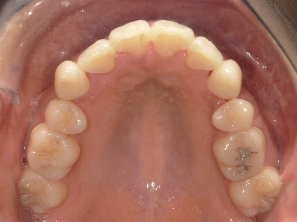
重度のガタつき
- 40代女性
- 主訴:ガタつき
- 矯正方法:マウスピースの抜歯矯正
- 治療期間:1年1ヶ月
- 治療費:935,000円
- その他ご要望:他院ではワイヤーになると言われたが、何とかマウスピースで矯正したい。
| ご相談内容 | 他の矯正歯科ではマウスピースでの治療を断られた40代女性からのご相談 |
| 現状と治療方針 | 重度のガタつきが見られます。前から4番目の歯を上下4本抜歯し、ワイヤーは使用せずマウスピースだけで治療する方針となりました。 |
| 治療結果 | 重度のガタつきを1年1ヶ月で改善することができました。 |
| 振り返り | 今回の患者様は何件も相談に行く中で、症状が重度であるという理由でマウスピースでの治療を断られ、ワイヤー矯正一択になるとの提案を受けていました。
現状でも歯みがきがしづらい状況の中、ワイヤーが付いてさらに磨けなくなることへのストレスや、ガタツキが大きいので痛みが強いことへの不安、装置で目立ってしまうこと等から、ご本人はワイヤーではなくマウスピースで矯正したいという気持ちを諦めきれず、当院を見つけてくださいました。
結果、最初から最後までワイヤーを使用せずマウスピース単独でわずか1年1ヶ月で治療を終えることができ、大変喜んでいらっしゃいました。 |
| リスク・副作用 | マウスピースの装着時間を守っていただけないと矯正治療に時間がかかり、場合によっては治療がうまく進まない可能性があります。 |
歯が二列に重なっている歯並び
ウエストランド井口さんは前歯が二列になっていることを公表されました
(引用:https://www.youtube.com/watch?v=hnDCBgQiFXU)
以前放送されたテレビ番組で、M-1グランプリ王者のウエストランド井口さんは自身の歯並びについて、前歯が二列あることを公表されました。この状態を「二重歯列」といいます。
ウエストランド井口さんの歯並び「二重歯列」とは、歯が歯列弓という弓形の歯が生えるラインからズレて生えてくることで、歯が前後に重なるように生えてきてきてしまった状態をいいます。二重歯列は、通常の歯列の内側や外側にもう1列歯が並ぶように生えてしまっている状態を指し、主に前歯部分で顕著に見られることが多く、「前歯が二重に並んでいる」「歯が重なって見える」「歯のアーチからはみ出している」といった見た目が特徴です。何らかの原因で歯列弓に歯が生えてこなかったことで起こりますが、これは「ガチャ歯」とも言われる叢生の一種で、八重歯もこの二重歯列と同じ原理で発生します。
審美的な問題としては、笑顔になったときや会話時に見える歯並びに不自然さがあるため、コンプレックスに繋がるケースが多くあります。特に芸能人や接客業など、人前に出る機会の多い人々にとっては大きな悩みとなります。
見た目だけでなく、二重歯列は機能面でも支障をきたす恐れがあります。歯の重なりによって歯ブラシが届きにくくなり、プラーク(歯垢)が蓄積しやすくなります。これが虫歯や歯周病の原因となり、歯の健康を損なうリスクが高まります。
歯が二列になる主な原因としては、顎の骨が小さいことや、歯が大きいこと、歯の生え変わりが上手くいかなかったことなどが挙げられます。総じていうと歯が歯列弓からはみ出して生えてきてしまったということです。これは、生まれつきの問題もあれば、小さい頃の癖や食生活、乳歯の虫歯や治療歴などによっても起こることがあります。
顎が小さい
顎の発育が十分ではなく、顎に歯が並ぶスペースが足りないために、歯が凸凹に生え、結果二重歯列になります。
歯牙が大きい
歯1本の大きさが通常より大きいために、歯が並ぶスペースから押し出され、二重歯列になります。
乳歯が抜けなかった
通常、永久歯が生えてくる際に乳歯の根が溶けて自然に抜け落ちますが、何らかの理由でこのプロセスが正常に進まないことがあります。乳歯が抜けないまま永久歯が生えることで、永久歯が本来生える位置からズレて萌出し、二重歯列になります。
乳歯が早く抜けた
乳歯は永久歯の正しい位置を確保するスペースキーパーの役割を果たしています。そのため、虫歯や事故などで乳歯が早く抜けてしまうと、その役割を果たせなくなってしまうのです。乳歯が早期に脱落したことで、本来隣に生えるはずの永久歯が割り込んで萌出し、後から生えた永久歯がズレます。
悪習癖
指しゃぶりや爪噛みなど、歯を動かすような力が慢性的に歯に加わることで歯並びがズレて二重歯列になります。
遺伝
二重歯列には遺伝的な傾向があることが、多くの研究で明らかになっています。具体的には、顎の大きさや歯の数、形状などが遺伝的に決定される部分が大きいため、これらの特徴が二重歯列のリスクを高める可能性があります。
例えば、顎が小さめの遺伝的特徴を持つ場合、歯が正常に並ぶスペースが不足し、結果として二重歯列になりやすくなります。また、過剰歯(本来の歯の数よりも多く歯が生える状態)の傾向も遺伝することがあり、これも二重歯列の一因となります。
子供のころの指しゃぶりや爪噛み
幼少期の習癖も二重歯列の原因になり得ます。特に長期間続く指しゃぶりや爪噛みは、歯並びに悪影響を及ぼす可能性が高いです。これらの習慣は、歯や顎の正常な発育を妨げ、結果として二重歯列を引き起こすことがあります。
歯が二列に重なっている歯並び
前歯の二重歯列がもたらす悪い影響
発音や咀嚼への影響
二重歯列を放置すると、まず顕著に現れるのが発音や咀嚼(そしゃく)への影響です。歯並びが乱れることで、舌の動きが制限され、正確な発音が困難になることがあります。
特に「さ行」や「た行」の発音が不明瞭になってしまう方が多いようです。
また、咀嚼の面では、食べ物を十分に噛み砕けないことで、消化器系統に負担がかかる可能性があります。
これらの問題は、単に不便というだけでなく、長期的には栄養摂取の偏りや社会生活への悪影響につながる可能性があります。
虫歯や歯周病リスクの増加
二重歯列の状態では、歯と歯の間に食べカスが溜まりやすくなります。通常の歯ブラシでは届きにくい部分が増えるため、口腔内の衛生状態を保つことが難しくなるのです。
歯の重なり部分に食べカスが溜まり、結果として虫歯と歯周病を発症してしまうこともあります。
虫歯や歯周病は、放置すると歯の喪失につながる可能性があります。
顎関節症や頭痛などの健康リスク
二重歯列による不正咬合(ふせいこうごう)は、咬み合わせが悪いため顎関節に過度な負担をかけることがあります。その結果、顎関節症を引き起こす可能性が高まります。
顎関節症の代表的な症状には以下があります。
- 顎の痛み
- 開口障害
- 顎がカクカクと音を立てる(顎関節雑音)
さらに、顎の問題は頭痛や肩こり、耳鳴りなど、一見歯とは関係ないように思える症状にもつながることがあります。
見た目のコンプレックス
二重歯列はその美的対称性を大きく崩すため、違和感や生理的嫌悪感を持つ人が一定数存在します。特に前歯が二列に重なっている場合は、笑ったときや会話中に視線が集中しやすく、他人に不快感を与えていないかという不安を感じる要因にもなります。
また、自分の歯並びが気になって人前で笑えない、人と話すときに口元を隠してしまう、といった行動に表れるように、歯並びの乱れは自己肯定感を大きく下げてしまうことがあります。
さらに、二重歯列が引き起こす発音障害や滑舌の悪さも、対人関係に支障をきたす要因となります。会話中に正確な発音ができないことは、仕事や学校生活にも悪影響を与えかねません。さらに、飲み込みや咀嚼がうまくできないことによる食事中の不快感もあり、それが原因で周囲との食事の場を避けるようになるケースも報告されています。
このように、二重歯列は単に歯科的な問題にとどまらず、心の健康や人間関係にも影響を及ぼす複合的なテーマです。歯列矯正は見た目を整えるためだけのものではなく、自信を取り戻し、より前向きな生活を送るための手段でもあるのです。こうした観点からも、早期の専門的アドバイスや治療を受ける意義は非常に大きいといえるでしょう。
歯が二列に重なっている歯並び
二重歯列は治した方が良い不正咬合
二重歯列で悩む原因は様々です。二重になっているところが気になって仕方がないという人もいれば、歯磨きがしにくいと悩む人もいたり、口臭が気になるという人もいます。
何より、その見た目が気になって、「人前で口を開けて笑えない」という人は特に大勢いらっしゃいます。
二重歯列は叢生という不正咬合です。不正咬合はよくない歯並びの総称で、歯を長く健康的に保つためにも矯正をした方が良い咬み合わせです。その結果、見た目もよくなり、コンプレックスも解消されます。渋谷東京矯正歯科へお気軽にご相談ください。
歯が二列に重なっている歯並び
前歯の二重歯列の治し方
二重歯列は矯正治療で治せます。渋谷東京矯正歯科では目立たないマウスピース矯正で治すことが可能です。
矯正治療ではスペースを確保して歯を動かしていきますが、スペースを確保する方法には、「抜歯(歯を抜く)」「IPR(歯を削る)」「遠心移動(歯を後ろに送る)」等があります。二重歯列の場合、歯を動かす距離が多いため、抜歯矯正(抜歯対象の歯は主に前歯から数えて4番目・5番目の歯)となることが多いです。
奥歯を後ろに動かすことで改善する方法
奥歯から順番に歯を後ろに移動させて、前歯の重なりを改善していく方法です。抜歯をせずに、奥歯をさらに後ろに下げていく「遠心移動」を行うことで、全体の歯を後ろに下げていくことが可能です。インビザラインが得意とする治療方法の一つです。
歯と歯の間を僅かに削って改善する方法
歯と歯の間を削ることでスペースを作り、全体の歯を後ろに下げていきます。処置後すぐにスペースができるため、動かす必要のある歯をすぐに移動開始させることが可能で、効率的で治療期間も短く済む治療方法です。動きの実現性も高い治療方法となります。
途中の歯を抜歯することで改善する方法
小臼歯を抜歯してスペースを作り、前歯の重なりを改善していく方法です。前歯が完全に二列に並んでいる重度の症状のケースに適しています。スペースが大きいため、奥歯が前に移動してしまったり、抜歯スペースに倒れこんでしまうリスク、また、歯の移動量が大きいため、前歯の根っこが歯茎から飛び出てしまったり、前歯が内側に大きく傾いてしまうリスクなど、それらが起こらないようにするためのCTに基づく専門医の診断、治療計画が必要不可欠となります。
歯のアーチを広げることで改善する方法
左右の歯を外側に拡げていくことで、前歯の重なりを改善する治療方法です。
歯が二列に重なっている歯並び
二重歯列は抜歯が必要?
抜歯が必要なケースとそうでないケース
二重歯列の治療において「抜歯の有無」は、多くの患者にとって最初の大きな関心事です。歯を抜かずに済むなら避けたいと考えるのが自然ですが、治療の目的や口腔内の状態によっては、抜歯が適切とされるケースも少なくありません。ここでは、抜歯が必要となる代表的なケースと、抜歯を回避できる可能性がある状況を詳しく解説します。
まず前提として、抜歯が検討される最大の理由は「歯列と顎のバランスがとれていない場合」です。特に顎が小さく、歯が並ぶスペースが不足していると、歯が重なって二重歯列になりやすくなります。このようなスペース不足が明確な場合、抜歯によって適切な位置に歯を並べる余地を確保することが、根本的な解決につながります。
抜歯が必要とされる主なケースには以下のようなものがあります。
| 状況 | 詳細内容 |
| 顎が小さく歯が並びきらない場合 | 歯の本数に対して顎のスペースが狭く、重なりが強い |
| 過剰歯や乳歯の残存がある場合 | 余分な歯が正常な歯の並びを妨げている |
| 二重歯列が重度の場合 | 通常の矯正では歯が並びきらない |
| 上下顎前突など骨格のズレがある | 顎の位置やバランスを整えるために抜歯が必要になる場合 |
| 一部の歯が強く内側や外側に逸脱 | 並べ直しが困難で抜歯が適していることも |
一方で、抜歯せずに矯正治療が可能なケースも存在します。特に以下のような条件がそろっていれば、抜歯を回避する可能性が高くなります。
抜歯を回避できる可能性がある条件
- 顎のスペースにある程度の余裕がある
- 二重歯列の重なりが軽度
- 小臼歯のサイズが比較的小さく、拡大が可能
- 小児や成長期で顎の成長余地がある
- 奥歯の移動や歯列全体の拡大で改善できると判断された場合
特に、マウスピース矯正やワイヤー矯正による歯列拡大法では、近年「非抜歯治療」が増えている傾向があります。しかしこれは、単に抜歯を回避することが目的なのではなく、「正しいかみ合わせ」「審美性」「清掃性」「長期的安定性」などを総合的に見たうえでの判断が必要です。
ここで重要なのは「抜歯=失敗、非抜歯=成功」という誤解を避けることです。抜歯が必要かどうかは、矯正歯科医の診断に基づき、口腔内の状況や治療ゴールを明確にした上で決定されます。無理に歯を残してしまうと、治療結果に不満が残ったり、後戻りが生じたりすることもあります。
抜歯の要否を含めた治療方針は、カウンセリングや診断資料(レントゲン・CT・口腔内スキャンなど)を元に作成される「治療計画書」に明記されるのが通例です。費用や治療期間と併せて、どのような治療法が適しているかを具体的に把握することで、納得のいく選択ができるようになります。
あらゆる歯並びをマウスピースで改善します
渋谷東京矯正歯科の症例
Eライン
反対咬合
口ゴボ
ガタつき(非抜歯)
ガタつき(非抜歯)
ガタつき(非抜歯)
ガタつき(非抜歯)
八重歯
ガタつき(抜歯)
ガタつき(抜歯)
顔の歪み
ガタつき(非抜歯)
口ゴボ(非抜歯)
すきっ歯
すきっ歯
マウスピースの非抜歯矯正
歯を抜かずにEラインを改善した症例
口元の改善 / Eライン
- 20代女性
- 主訴:前歯を下げたい
- 矯正方法:マウスピースの非抜歯矯正
- 治療期間:13ヶ月
- 治療費:715,000円
- その他ご要望:歯を抜かずに口元をできる限り下げたいとのご希望。
Q
- 詳しくはこちら
-
| ご相談内容 | 前歯が出ていることが気になると20代女性からのご相談 |
| 現状と治療方針 | 上の前歯が出ており、口元の突出感が見られます。歯を抜くことに抵抗がある患者様だったため、奥歯をさらに後ろに下げることのできる遠心移動という方法を用いて、歯を抜かずに口元を下げる治療計画を作成しました。 |
| 治療結果 | 非抜歯で前歯を13ヶ月で下げることができ、横から見た際の口元の変化も見られました。 |
| 振り返り | 今回の患者様は口元が出ていることにコンプレックスを感じていらっしゃり、また、歯を抜くことに抵抗もあったため、「歯を抜かずにEラインを改善する」ことができる矯正歯科を探しておられました。歯を抜かなくても口元の印象が変わったことに大変喜ばれていました。 |
| リスク・副作用 | マウスピースの装着時間を守っていただけないと矯正治療に時間がかかり、場合によっては治療がうまく進まない可能性があります。 |
マウスピースの部分矯正
7ヶ月の部分矯正で反対咬合と正中のズレを改善した症例[抜歯なし]
反対咬合 / 正中のズレ
- 20代女性
- 主訴:下の前歯が出ていることと正中のズレ
- 矯正方法:マウスピースの部分矯正
- 治療期間:7ヶ月
- 治療費:495,000円
- その他ご要望:マウスピースを早く受け取りたいとのご希望
Q
- 詳しくはこちら
-
| ご相談内容 | 下の前歯が出ていることと正中のズレが気になると20代女性からのご相談 |
| 現状と治療方針 | 下の前歯が出ていることで前歯の噛み合わせが悪く、上と下の歯の中央のズレも見られます。費用を抑えたいとの強い希望から、部分矯正をインビザラインで行いました。 |
| 治療結果 | 下の前歯が下がり、正中も改善されました。 |
| 振り返り | 今回の患者様は他院で100万円程の全体矯正を提案され、なんとか費用を抑えてできないかと矯正歯科を探しておられた中、当院にご来院いただき、部分矯正では難しい可能性もお伝えしつつ、なんとか矯正治療を完了された方です。他院と比べてマウスピースがかなり早く受け取れることを大変喜ばれていました。 |
| リスク・副作用 | マウスピースの装着時間を守っていただけないと矯正治療に時間がかかり、場合によっては治療がうまく進まない可能性があります。 |
マウスピースの部分矯正
5ヶ月の部分矯正で前歯を下げた症例[抜歯なし]
Before
After
出っ歯 / 口が閉じづらい
- 20代女性
- 主訴:上の前歯を下げたい
- 矯正方法:マウスピースの部分矯正
- 治療期間:5ヶ月
- 治療費:440,000円
- その他ご要望:上の前歯だけ改善し、それ以外の歯は動かしたくない、費用を抑えたい、マウスピースを早く受け取りたい、矯正前に横顔のビフォーアフターが見たい。
Q
- 詳しくはこちら
-
| ご相談内容 | 口が閉じづらく、上の前歯を下げたいと20代女性からのご相談 |
| 現状と治療方針 | 上と下の前歯で距離があるのが見られます。口が閉じづらく、前歯で物が噛みにくいことが予測されます。今回は費用を抑えたいとのことで、14枚のマウスピースで行うインビザラインの部分矯正で治療を進めました。 |
| 治療結果 | 5ヶ月で上の前歯を下げることができました。歯が適切な位置に並ぶことで口も閉じやすくなり、口呼吸の予防、口臭予防にもなりました。 |
| 振り返り | 今回の患者様は部分矯正だったので途中の通院も不要で、あっという間にコンプレックスを改善することができたと喜ばれていました。また、気になるのは前歯だけなので、上の前歯以外は動かしたくないというこだわりをお持ちで、それが叶う矯正歯科を探されてたため、その点も満足いただけました。矯正前に横顔のビフォーアフターを見ることができたことも大変喜ばれていました。 |
| リスク・副作用 | マウスピースの装着時間を守っていただけないと矯正治療に時間がかかり、場合によっては治療がうまく進まない可能性があります。 |
マウスピースの非抜歯矯正
8ヶ月でガタつき/噛み合わせを改善した症例[抜歯なし]
ガタつき / かみ合わせ
- 20代女性
- 主訴:ガタつきを綺麗にしたい
- 矯正方法:マウスピースの非抜歯矯正
- 治療期間:8ヶ月
- 治療費:710,000円
- その他ご要望:絶対に歯を抜きたくない、マウスピースを早く受け取りたい、分割払いご希望。
Q
- 詳しくはこちら
-
| ご相談内容 | ガタつきが気になると20代女性からのご相談 |
| 現状と治療方針 | 前歯のガタつきが見られます。他にも左側の奥歯が噛めていない状態にもあります。歯と歯の間にわずかなスペースを作る治療計画で矯正を行いました。 |
| 治療結果 | ガタつきと噛み合わせを8ヶ月で改善できました。 |
| 振り返り | 今回の患者様は噛み合わせの違和感はなかったものの、矯正治療の結果、奥歯で噛めるようになって初めて噛める感覚を知ったと喜ばれていました。また、絶対に抜歯をしたくないという希望も叶い安心して治療を進めることができました。また、マウスピースを早く受け取って早く始めたいというご希望もあったため、他院で先に矯正を始めていたご友人よりも早く終わらせることができたことに驚かれていました。 |
| リスク・副作用 | マウスピースの装着時間を守っていただけないと矯正治療に時間がかかり、場合によっては治療がうまく進まない可能性があります。 |
マウスピースの非抜歯矯正
9ヶ月でガタつき/噛み合わせを改善した症例[抜歯なし]
ガタつき / かみ合わせ
- 30代男性
- 主訴:前歯のガタつきと噛み合わせを良くしたい
- 矯正方法:マウスピースの非抜歯矯正
- 治療期間:9ヶ月
- 治療費:710,000円
- その他ご要望:治療期間を早くしたい、マウスピースを早く受け取りたい。
Q
- 詳しくはこちら
-
| ご相談内容 | 前歯のガタつきと噛み合わせが気になると30代男性からのご相談 |
| 現状と治療方針 | 前歯のガタつきが見られます。また、下の前歯を上の前歯が大きく被さっているため、下の前歯が見えない過蓋咬合(ディープバイト)が見られます。奥歯をさらに後ろに下げる遠心移動と、歯と歯の間にわずかなスペースを作る方法で矯正を行いました。 |
| 治療結果 | ガタつきと噛み合わせを9ヶ月で改善できました。 |
| 振り返り | 今回の患者様は他院で不信感があり、ご紹介という形でセカンドピニオンを受けるために当院にお越しいただきました。お仕事が多忙のため治療期間を早くすることが一番重要なご要望でしたが、全体矯正にも関わらず9ヶ月で矯正を終えることができたことに大変喜んでいただけました。 |
| リスク・副作用 | マウスピースの装着時間を守っていただけないと矯正治療に時間がかかり、場合によっては治療がうまく進まない可能性があります。 |
マウスピースの部分矯正
3ヶ月の部分矯正で前歯のガタつきを改善した症例[抜歯なし]
前歯のガタつき
- 20代女性
- 主訴:上の前歯のガタつきを短期間で治したい
- 矯正方法:マウスピースの部分矯正
- 治療期間:3ヶ月
- 治療費:495,000円
- その他ご要望:目立つ前歯だけを矯正したい、安く早く矯正したいとのご希望
Q
- 詳しくはこちら
-
| ご相談内容 | 上の前歯のガタつきが気になると20代女性からのご相談 |
| 現状と治療方針 | 上の前歯のガタつきが見られます。今回は目立つ部分だけを矯正したいとのご希望からインビザラインの部分矯正で治療を行いました。 |
| 治療結果 | 上の前歯のガタつきを3ヶ月で取ることができました。また、歯が適切な位置に並ぶことで歯みがきもしやすくなり、将来の虫歯や歯周病のリスクが軽減されました。 |
| 振り返り | 今回の患者様は見える部分だけを早く安く矯正したいとのご希望がありました。部分矯正で改善することができたので3ヶ月でコンプレックスを解消することができ、矯正して良かったとのお言葉をいただきました。部分矯正なので途中の通院も不要で、費用も抑えることができたので、全てのご要望にお応えすることができました。 |
| リスク・副作用 | マウスピースの装着時間を守っていただけないと矯正治療に時間がかかり、場合によっては治療がうまく進まない可能性があります。 |
マウスピースの部分矯正
7ヶ月でガタつきを改善した症例[抜歯なし]
ガタつき / 噛み合わせ
- 20代女性
- 主訴:ガタつきを綺麗にしたい
- 矯正方法:マウスピースの非抜歯矯正
- 治療期間:7ヶ月
- 治療費:660,000円
- その他ご要望:マウスピースを早く受け取りたい、一部だけ分割払いご希望
Q
- 詳しくはこちら
-
| ご相談内容 | ガタつきが気になると20代女性からのご相談 |
| 現状と治療方針 | 上下の前歯のガタつきが見られます。歯と歯の間にわずかなスペースを作る治療計画で行いました。 |
| 治療結果 | ガタつきと噛み合わ7ヶ月で改善することができました。 |
| 振り返り | 今回の患者様は格安矯正とインビザライン矯正とで悩んでおられましたが、短期間で綺麗になったためインビザラインを選んで良かったと喜んでおられました。また、矯正費用の一部だけをデンタルローンご希望で、自分で金額を決めることができたため、すぐに矯正を始められた点も喜んでいただけました。 |
| リスク・副作用 | マウスピースの装着時間を守っていただけないと矯正治療に時間がかかり、場合によっては治療がうまく進まない可能性があります。 |
マウスピースの抜歯矯正
8ヶ月でガタつき/八重歯を改善した症例[抜歯あり]
ガタつき / 八重歯
- 20代女性
- 主訴:ガタつきと八重歯
- 矯正方法:マウスピースの抜歯矯正
- 治療期間:8ヶ月
- 治療費:715,000円
- その他ご要望:途中で引っ越し予定のため通院回数を少なくしたい、学生様ご自身での分割払いご希望。
Q
- 詳しくはこちら
-
| ご相談内容 | ガタつきと八重歯が気になると20代女性からのご相談 |
| 現状と治療方針 | ガタつき、特に八重歯が見られます。ガタつきが強く、顎のスペースに対して歯が並ぶスペースが不足していたため、片側の抜歯矯正を行いました。 |
| 治療結果 | ガタつきを8ヶ月で改善することができました。 |
| 振り返り | 今回の患者様は学生で、4ヶ月後に社会人になり配属先が地方になることが決まっていたため、「早く始められて通わずに矯正できること」がポイントでした。実際に途中で地方へ引っ越しをされましたが、通院回数が4ヶ月に1度で済んだことと、オンラインでの診察も含めて問題なく治療を継続することができました。学生様ですが、デンタルローンの申し込みもご家族の方が手続きだけ代理で行うことで可能となり、矯正費用もご本人によってご負担なく分割払いで行うことができました。 |
| リスク・副作用 | マウスピースの装着時間を守っていただけないと矯正治療に時間がかかり、場合によっては治療がうまく進まない可能性があります。 |
マウスピースの抜歯矯正
12ヶ月で重度のガタつきを改善した症例[抜歯あり]
ガタつき / 八重歯
- 30代男性
- 主訴:ガタつき
- 矯正方法:マウスピースの抜歯矯正
- 治療期間:12ヶ月
- 治療費:935,000円
- その他ご要望:お仕事柄、ワイヤーではなく目立たないマウスピース型をご希望。分割払いをご希望。
Q
- 詳しくはこちら
-
| ご相談内容 | ガタつきが気になると30代男性からのご相談 |
| 現状と治療方針 | 重度のガタつきが見られます。八重歯や内側に倒れた歯があり、顎のスペースに対して歯が並ぶスペースが不足していたためインビザラインで片側の抜歯矯正を行いました。 |
| 治療結果 | ガタつきを12ヶ月で改善することができました。 |
| 振り返り | 今回の患者様はガタつきが重度だったため、片側の抜歯矯正を選択しました。ご本人は治療期間が2年ほどかかると思われていたようで、このガタつきが12ヶ月で改善したことに大変喜ばれていました。人前に出るお仕事柄、目立つ装置は避けたいとのご希望があり、目立たないマウスピースで改善することができました。 |
| リスク・副作用 | マウスピースの装着時間を守っていただけないと矯正治療に時間がかかり、場合によっては治療がうまく進まない可能性があります。 |
マウスピースの抜歯矯正
11ヶ月でガタつきを改善した症例[抜歯あり]
ガタつき
- 40代女性
- 主訴:ガタつき
- 矯正方法:マウスピースの抜歯矯正
- 治療期間:11ヶ月
- 治療費:935,000円
- その他ご要望:差し歯があるが矯正できるか、かぶせ物が多いので矯正に影響ないか、金属アレルギーあり。
Q
- 詳しくはこちら
-
| ご相談内容 | ガタつきが気になると40代女性からのご相談 |
| 現状と治療方針 | ガタつきが見られます。特に下の前歯の右側の2番目の歯は完全に並ぶスペースがありません。そのため、下の歯を1本抜歯して治療を行いました。 |
| 治療結果 | ガタつきを11ヶ月で改善することができました。 |
| 振り返り | 今回の患者様はガタつきが強く、顎のスペースに対して歯が並ぶスペースが不足していたため、片側の抜歯矯正を行いました。上の前歯2本が差し歯のため、歯が動くのか心配されていましたが問題なく動いています。また、かぶせ物が多いことも矯正に影響がないか気にされていましたが、こちらも問題なく治療は順調に進みました。金属アレルギーでしたがマウスピースのため問題なく矯正することができました。 |
| リスク・副作用 | マウスピースの装着時間を守っていただけないと矯正治療に時間がかかり、場合によっては治療がうまく進まない可能性があります。 |
顔の歪み / 八重歯 / 噛み合わせ
- 20代女性
- 主訴:噛み合わせと八重歯
- 矯正方法:マウスピースの抜歯矯正
- 治療期間:1年
- 治療費:935,000円
- その他ご要望:ワイヤーかマウスピースで、期間が早い方で矯正したいとのご希望。
Q
- 詳しくはこちら
-
| ご相談内容 | 噛み合わせのズレと八重歯が気になると20代女性からのご相談 |
| 現状と治療方針 | 歯のガタつきと顔の歪みが見られます。ワイヤー矯正とマウスピース矯正で悩まれていましたが、期間が早く終わる方が良いとのご希望からマウスピース矯正を選択されました。 |
| 治療結果 | 歯のガタつきが改善され、顔の歪みも改善されました。 |
| 振り返り | 今回の患者様は噛み合わせの影響で、顎をズラして噛んでいましたが、矯正治療により噛み合わせが改善され、結果的に顎の歪みも改善されました。歯並びだけでなく顔の歪みにも変化が見られたことに大変喜ばれていました。 |
| リスク・副作用 | マウスピースの装着時間を守っていただけないと矯正治療に時間がかかり、場合によっては治療がうまく進まない可能性があります。 |
マウスピースの非抜歯矯正
8ヶ月でガタつきを改善した症例
ガタつき / 前歯の噛み合わせ
- 30代女性
- 主訴:ガタつきと前歯の噛み合わせ
- 矯正方法:マウスピースの非抜歯矯正
- 治療期間:8ヶ月
- 治療費:715,000円
- その他ご要望:とにかく歯を抜きたくない。他院では抜歯が必須と言われ、歯を抜かずに矯正できるところを探しているとのご希望。
Q
- 詳しくはこちら
-
| ご相談内容 | 歯のガタつきが気になると30代女性からのご相談 |
| 現状と治療方針 | 歯のガタつきが見られ、一部の前歯が内側に入ってしまっているため、噛み合わせの改善が必要な状態です。ずっと前から矯正治療を希望されていましたが、歯を抜くことに抵抗がありました。かかりつけ医や他院からは抜歯が必須と言われたため、どうにか歯を抜かずに治せるところがないか探していました。当院では非抜歯の治療計画をご提案しました。 |
| 治療結果 | 歯のガタつきが改善され、前歯も理想的な噛み合わせを獲得できました。 |
| 振り返り | 今回の患者様は歯を抜かずに矯正したいというご要望が叶いました。他院では歯を抜かないと治せないと断られ続けてきたため、諦めずに非抜歯でできる矯正歯科を探して良かったと大変喜ばれていました。 |
| リスク・副作用 | マウスピースの装着時間を守っていただけないと矯正治療に時間がかかり、場合によっては治療がうまく進まない可能性があります。 |
マウスピースの非抜歯矯正
歯を抜かずに前歯を下げた症例
口ゴボ / 過蓋咬合 / ガタつき
- 20代女性
- 主訴:前歯が出ていて口が閉じづらい、上の前歯が下の前歯にかぶさる
- 矯正方法:マウスピースの非抜歯矯正
- 治療期間:1年
- 治療費:825,000円
- その他ご要望:前歯が出ていて口が閉じづらいため口呼吸になってしまうのを改善したいとのご希望。
Q
- 詳しくはこちら
-
| ご相談内容 | 前歯が出ているのと噛み合わせが気になると20代女性からのご相談 |
| 現状と治療方針 | 下の前歯が見えていないほどの深い噛み合わせとガタつき、前歯の突出感が見られます。歯を抜かずに口元を下げる治療計画を作成しました。 |
| 治療結果 | 前歯が下がり、噛み合わせが改善しました。 |
| 振り返り | 今回の患者様は出っ歯のせいで口が閉じづらく、口呼吸に悩んでおられました。矯正後、口呼吸が改善され、食いしばりも減り、頭痛や肩こりまで楽になったと喜んでいただけました。 |
| リスク・副作用 | マウスピースの装着時間を守っていただけないと矯正治療に時間がかかり、場合によっては治療がうまく進まない可能性があります。 |
マウスピースの非抜歯矯正
すきまとガタつきを3ヶ月の部分矯正で改善した症例
すきっ歯 / ガタつき
- 30代女性
- 主訴:全体的なすきまとガタつき
- 矯正方法:マウスピースの部分矯正
- 治療期間:3ヶ月
- 治療費:495,000円
- その他ご要望:費用を抑えて短い期間で矯正したいとのご希望。
Q
- 詳しくはこちら
-
| ご相談内容 | 全体的なすきまとガタつきが気になると20代女性からのご相談 |
| 現状と治療方針 | 全体的にすきまとガタつきが見られます。安く早く矯正したいとのご希望から、インビザラインの部分矯正で進めました。 |
| 治療結果 | 全てのすきまが閉じ、ガタつきも改善されました。 |
| 振り返り | 今回の患者様は費用を安く期間を早く矯正したいとのご希望だったため、部分矯正をインビザラインで行いました。結果的に3ヶ月で終了することができ大変喜ばれていました。 |
| リスク・副作用 | マウスピースの装着時間を守っていただけないと矯正治療に時間がかかり、場合によっては治療がうまく進まない可能性があります。 |
マウスピースの非抜歯矯正
8ヶ月で出っ歯とすきまを改善した症例
出っ歯 / すきっ歯
- 20代男性
- 主訴:出っ歯と前歯のすきま
- 矯正方法:マウスピースの非抜歯矯正
- 治療期間:8ヶ月
- 治療費:715,000円
- その他ご要望:他院でワイヤー矯正を勧められたがマウスピースで治せないかとのご希望。
Q
- 詳しくはこちら
-
| ご相談内容 | 出っ歯と前歯のすきまが気になると20代男性からのご相談 |
| 現状と治療方針 | 上の前歯の突出感とすきまが見られます。他院でワイヤー矯正を提案されたものの、マウスピースご希望だったためインビザラインで矯正しました。 |
| 治療結果 | すきまが閉じて、上の前歯が下がりました。 |
| 振り返り | 今回の患者様はマウスピース矯正を希望されていましたが、他院でワイヤー矯正を勧められていた経緯がありました。結果的に目立たないマウスピースで治すことができ、学生生活も周りを気にせずに矯正することができたと大変喜ばれていました。 |
| リスク・副作用 | マウスピースの装着時間を守っていただけないと矯正治療に時間がかかり、場合によっては治療がうまく進まない可能性があります。 |
当院はインビザライン社認定医のプラチナエリートドクター。マウスピース矯正の専門医だから安心です。
また、年間100症例以上の実績で難症例にも対応しているため、他院で治療を断られてしまった方もご相談ください。
健康な歯を残しながらご希望を叶える治療計画を作成します。また、事前に治療に対する抵抗感をお伺いし、患者さまにとって負担のない治療方法をご提案します。
最新の医療システムを用いているので、痛みを伴う治療もほとんどありません。
部分矯正の場合、途中の通院は不要です。全体矯正の場合でも4ヶ月に1回です。
通院のいらないオンライン診療
お口の中の処置以外は全て、「来院診療」と「オンライン診療」を自由に選べます。
通院のいらないバーチャルケア
専用アプリを使えば、ご自宅から写真を送信するだけで医師のチェックが受けられます。
マウスピース受け取り最短3週間
マウスピースの受け取りには一般的に2ヶ月近くを要しますが、専門歯科の当院ではすぐにスタート可能です。
短い治療期間
多くの臨床経験により治療期間の短縮を実現。部分矯正ではさらに短い期間で矯正治療を終えることが可能です。
当院では、治療にかかるすべての費用を最初にお伝えしています。万が一、通院回数の増加や治療期間の延長などが発生しても、追加費用はいただきません。最初にご提示した料金より高額になることはありませんので安心して治療を続けていただけます。
渋谷東京矯正歯科はマウスピース矯正専門歯科のため、すべての症状をマウスピースで治します。初めて矯正治療を検討している方、気になる部分だけを矯正したい方、他院で矯正したが現状に満足していない方、過去に矯正したが後戻りしてしまった方、リテーナーだけ作成したい方など、あらゆるご要望にマウスピースでお応えします。
- 気になる部分だけを矯正できる
- 最短3ヶ月で矯正完了
- 途中の通院が不要
- 矯正費用を安く抑えられる
- 部分でも認定医による本格矯正
- 重度の症状
- 難症例を理由に他院で断られた方
- マウスピースで抜歯矯正
- ワイヤーからマウスピースへの切り替え
- 外科手術の提案を受けた方
- 矯正後の後戻り
- 他院で矯正済みで再度矯正されたい方
- 気になる部分だけ矯正したい方
- 歯を少し動かしてからリテーナーを作成したい方
相談、検査、シミュレーションも無料
矯正スタートまで費用¥0
カウンセリング、検査費、シミュレーション作成など、矯正を検討中における諸費用は一切かかりません。最終的に矯正をされない場合もご請求はありません。
通院費、調整料など、最初にご提示する矯正プラン料金以外にかかる費用はありません。矯正後のリテーナーも無料でご用意しています。
頭金のいらない分割払いもご利用いただけるため、最初にまとまった費用を用意しなくても矯正を始めることが可能です。
安心のトータルフィー制度
より安心して矯正治療を受けていただけるよう、当院ではトータルフィー制度(総額制)を採用しています。検査費用、調整料、保定装置代全て込の金額を最初にご提示させていただきます。ご提示後に追加で費用がかかることはございません。
全ての費用を含んだ金額をご提示
分割払いにも対応しています
月々 3,000円~
※ 治療費275,000円のマウスピース矯正を分割払いでお支払いいただく場合の例となります。
矯正費用のお支払いには現金、クレジットカード、電子マネー、振込、分割払いをご利用いただけます。
インビザライン矯正は
医療費控除がご利用いただけます
一年間に自分または家族が10万円(総所得が200万未満の場合はその5%)以上医療費等を支払った場合は最大200万円分の税金が控除され減税または還付金が返還されます。1年間(1月1日~12月31日)の医療費が10万円を超えた金額の一部が税金軽減に。
ご自身・ご家族が1年間の医療費合計100万円を支払った場合の例
| 総所得 | 所得税率・住民税率 | 還元・減税される金額 | 実際の負担額 |
|---|
| 300万円の方 | 10%・10% | 18万円 | 82万円 |
|---|
| 500万円の方 | 20%・10% | 27万円 | 73万円 |
|---|
| 800万円の方 | 30%・10% | 29万7千円 | 70万3千円 |
|---|
インビザラインの見た目は、透明で目立たない素材のマウスピースを使用するので周りから気付かれにくい矯正治療です。厚みも0.7㎜と薄いため、治療期間中、矯正装置の厚みで口元が突出したりする心配もありません。1週間ごとに新しいマウスピースに交換できるため、矯正期間中は常に新しく綺麗なものを装着し続けることができ非常に衛生的です。


インビザラインの治療期間は、手掛ける歯科医師の作成する治療計画次第で大きく異なります。同じ症状であっても、インビザライン社認定医であれば、多くの臨床経験や実績から、動きやすい歯の動かし方、歯を動かす速度、起こり得るリスクに至るまでを把握できているため、結果的に短い治療期間で矯正を終えることができます。実際にご自身の目で当院の治療計画をご確認いただき実感してみてください。
インビザラインの通院回数は、4ヶ月に1回ほどです。矯正治療は毎月通わなければならないイメージをお持ちの方も多いかと思いますが、年に数回の通院で矯正できてしまうため、お仕事やプライベートの時間はそのままで綺麗な歯並びを獲得していただけます。抜歯をする治療計画の場合でも2ヶ月に1回ほどの通院でインビザライン矯正を進めていただけます。


インビザラインの痛みは、ワイヤー矯正と比べた場合、1/4程度と言われています。マウスピースの力で、身体に負担をかけずに歯を矯正していくので、矯正の痛みも軽微なものとなります。お口の中の処置においても痛みを伴う処置はほとんどありません。歯医者さんが苦手な方も、矯正歯科が初めての方も、安心して進めていただけます。
当院のインビザラインの費用は、矯正スタート時にお支払いいただく矯正プラン料金以外の追加費用はかかりません。最初に聞いていた金額より多く矯正費用がかかってしまったということが起こらないため、安心して矯正治療を進めていただけます。分割払いも選択できるので、ご自身にとって負担の少ない方法をご提案しています。


1週間ごとに新しいものを装着できる
インビザライン矯正のお手入れ
インビザラインのマウスピースは取り外せるので、ストレスなく今まで通りの歯磨きやフロスができます。そしてマウスピースも丸ごと洗浄できるのでとても衛生的。食事の際も取り外して今まで通り思いっきり食べることができるので、普段の生活を変えることなく矯正治療を進めることができます。
自宅で歯を白くできる
インビザラインでホワイトニング
インビザライン矯正中は、インビザラインのマウスピースを使用してホワイトニングも同時に進められるので、きれいな歯並びと白い歯を手に入れることも可能です。新たにホワイトニング用のマウスピースを作製する必要がないため、ホワイトニングの費用も抑えることができます。

渋谷東京矯正歯科なら
シミュレーションを見てから検討できる
インビザラインはiTeroという専用の口腔内スキャナで歯を撮影するだけで、シミュレーションやマウスピースの作成が可能です。
こんなお悩みありませんか?
- 抜歯と非抜歯で仕上がりの違いを見比べたい
- 全体矯正と部分矯正で仕上がりの違いを見比べたい
- 口元の下がり具合を確認したい
- 横顔のビフォーアフターも見たい
矯正治療を検討中で悩まれている方はシミュレーションを見てから検討していただくと、不明点が解消され最適な選択ができます。家族の方と相談されたり、矯正を検討する際にもお役立てください。

透明で目立ちにくい、取り外しが可能なマウスピース矯正インビザラインには多くのメリットがあります。矯正治療の課題であった見た目や痛み、食事のしづらさ等を解消し、普段の生活のまま快適に綺麗な歯並びを獲得することができます。
インビザライン矯正の一番のメリットは、装置が目立たないことです。薄く透明なので装着していても着けていることがほとんど分かりません。治療中の見た目が気になる方、人と接する機会の多い方などにおすすめの矯正治療法です。
インビザラインは他の矯正装置とは違って、患者さまご自身の手で取り外しができることが大きな特徴のひとつ。食事の時には取り外すことができるので、装置に食べ物が詰まる心配もなく、治療中も普段通りに食事ができます。
インビザライン矯正は段階的に歯を動かしながら歯並びを矯正するため、従来の矯正方法と比べて痛みが少なく、唇や口の中の粘膜などを傷つけてしまう心配がありません。治療期間中に装置が歯から外れてしまうなどの緊急性が少ないことも特徴のひとつです。
インビザラインのマウスピースは1週間ごとに新しいものへ交換するので、お口の中には常に新しくきれいなマウスピースを装着でき、とても衛生的です。お手入れも歯磨きのついでに自分でできるから気軽に進めることができます。
インビザラインのマウスピースの素材は医療用プラスチックで金属を一切使用していないので、金属アレルギーの方も安心して進めることができます。一定期間お口の中に装着する矯正治療では、身体への健康リスクが生じないことはとても重要です。
インビザラインのマウスピースはご自身の歯の形に沿ってカットされているので、歯茎に当たらず、痛みや違和感が生じづらい仕様になっています。歯みがきも取り外して今まで通り磨けるので、フロスも通せて、食べ物が詰まる心配もありません。
インビザラインは最新の3D技術を使用しており、治療計画や矯正後の結果を事前にシミュレーションすることができます。治療の進行や終了時の結果を予測することができるため、治療のプロセスや結果がより予測可能です。
当院では矯正スタート時に全てのマウスピースをお受け取りいただけるので、都度クリニックへ通院する必要はありません。ご自宅で新しいマウスピースに交換していくだけなので、自分のタイミングで手軽に進めていくことができます。
マウスピース矯正専門医
どんな歯並びにも
マウスピースで対応
片山 将 / Sho Katayama
インビザライン社では年に1度、インビザライン矯正をおこなう歯科医の実績を評価し、一定の基準を満たす歯科医を症例数に応じたインビザラインプロバイダーに認定しています。当院長はインビザライン社認定プラチナエリート・プロバイダー。認定医であり専門医であるからこその豊富な実績があります。
矯正でお困りの方は専門歯科の当院へお気軽にご相談ください。患者さまの症状に最も適した矯正治療をご提案します。
多くの臨床経験と実績を誇るマウスピース矯正の認定医が、精度の高い診断・治療計画を作成。あらゆる症状をマウスピースで改善します。
難症例を理由に他院で治療を断られてしまった方、外科的手術を提案された方もご相談ください。
渋谷東京矯正歯科は
東京大学医学部附属病院医療連携医院です
当院は東京大学医学部附属病院との医療連携医院に登録されています。マウスピース、ワイヤー問わず、他院にて矯正治療中でお困りの方、難症例などで他院にお断りされた患者様も安心して私ども専門医療チームにご相談ください。
少ないマウスピースで改善できるので、期間が短いことはもちろん、部分矯正でご要望を叶えられる可能性も。
「枚数の差」を実感していただけます。
リスクを加味した治療計画を作成できるので、抜歯をしないパターンでは4ヶ月に1度の通院で矯正が可能。
「通院回数の差」を実感していただけます。
多くの臨床経験により効率的な歯の動かし方を熟知しているから、綺麗な歯並びを圧倒的に早く獲得可能。
「治療期間の差」を実感していただけます。
同じ矯正治療なのに、
なぜ短い期間と回数で矯正できるのか、当院の診断でご確認ください。
「早く終わる矯正」を実現しています。
歯を抜かずにEラインを実現させたいという多くのご要望にお応えしています。
期間を短く費用を抑えたい方も
部分矯正での改善を実現
少ないマウスピースで治療計画が作成できるので、部分矯正でご要望を叶える可能性を高めます。
健康リスクはないと分かっていても歯を削ることに抵抗がある。そんなご要望にお応えしています。
他院で断られた方も
重度の症状も
マウスピースで改善できる
重度の症状なのでワイヤー矯正を提案された。そのような方も目立たないマウスピースで改善しています。
抜歯をご希望の方も
抜歯矯正も
マウスピースで改善できる
マウスピースで抜歯の矯正をしたかったがワイヤー矯正を提案された。そのような方もマウスピースで抜歯の矯正が可能です。
口元の突出感、出っ歯を改善したい、口元を大きく下げたい、Eラインを実現したい。当院では特に多くご要望いただいており、マウスピースで対応可能です。
精密検査の結果は当日にわかります。初めての来院でも、その日のうちにご自身の現状、症状のレベル、治療方針、期間、料金を知ることができます。
すぐに矯正を始められる
マウスピースが早く受け取れる
初めての来院から最短2~3週間でマウスピースを受け取れます。インビザライン社認定医だからマウスピースの製造も優先的に行われます。
同じ矯正治療なのになぜ早いのか、専門歯科のメリットをご体験ください。マウスピースを受け取って矯正をスタートするまでに約2ヶ月ほどかかることが一般的ですが、当院では最短2週間でマウスピースをご用意し、矯正をスタートさせることが可能です。
渋谷東京矯正歯科の特徴
矯正専門だからご要望を反映できる
お仕事に影響のない矯正をご提案
目立つ部分に
補助装置を付けない方法も
お仕事柄、目立つ前歯にアタッチメント等の補助装置を付けることができない方へ、お仕事に影響の出ない方法をご提案しています。
大切なイベントに間に合わせる
結婚式や就活までに
終わらせる方法も
結婚式や就職活動、新社会人や転職など、大切なイベントに間に合わせる治療計画を作成します。
最後まで継続できる
遠方や途中の引っ越しを
控えている方も
遠方の方や、引っ越しや転勤など、途中で通えなくなる可能性がある方も、矯正を最後まで継続できる環境をご用意しています。
同じ矯正治療なのになぜ実現できるのか、専門歯科のメリットをご体験ください。矯正治療を行うに当たっての様々な制約やご希望もカウンセリングで遠慮なくお申し付けください。治療計画に反映させることが可能です。
渋谷東京矯正歯科の特徴
矯正専門だから可能なサポート
満足のいく仕上がりを保証
追加でマウスピースを作成できる
プランの規定に則って矯正後も追加でマウスピースの作成ができるので、満足いくまで歯並びや噛み合わせを調整することができます。
院内で作成可能なリテーナーをいつでも即日でお受け取りいただけます。矯正後にリテーナーの作り直しができずに後戻りしてしまう心配もありません。
他院で矯正された方やリテーナーを使用できずに後戻りしてしまった場合など、短期間、低価格で再矯正することも可能です。
同じ矯正治療でも、矯正後のサポート内容はクリニックによって大きく異なります。通院した歯科に矯正後のサポートがなくお困りの方は少なくありません。全ての患者さまに安心のサポートが完備されているのも、専門歯科の大きなメリットです。
矯正後のサポート内容は
クリニックによって異なります
多くの方にとって矯正治療は初めての経験。それ故に、矯正後のサポート内容についての十分な説明がないまま治療を進めてしまい、矯正後に対応してくれる歯科医院が見つからない、想定外の追加費用がかかったなどでお困りの方も少なくありません。専門歯科の安心のサポート内容をご確認ください。
- 気になる箇所を満足いくまで調整できる?
- 歯並びはもちろん噛み合わせまで最後まで診てくれる?
- リテーナーは付いている?
- いつでもリテーナーの再作成ができる?
- 追加費用はかかる?
院内風景
完全個室の新しく綺麗な内装。
プライベートな空間でお気軽にご相談ください。
アクセス
渋谷駅ハチ公口から一直線。
タワレコ前の大通り沿いにあります。
スクランブル交差点を斜め右前方(TSUTAYAの右手)へ。タワーレコードまで直進します。
タワーレコードの交差点に着くと前方にニトリが見えます。ニトリ沿いの歩道に信号を渡ってください。
信号を渡って3軒目のビル1階に「オオギ薬局」があります。このビルの3階にございます。
〒150-0041 東京都渋谷区神南1-12-16 和光ビル3階
診療時間
水・木・金 10:30~14:30 / 15:30~19:30
土 9:30~13:30 / 14:30~18:30
詳しいアクセスはこちら